Tiny patients, big issues—orthopedic challenges in toy dog breeds
BY DR LUCAS BEIERER
Toy dog breeds present unique orthopedic challenges due to their small size and bone structure. Recent improvements in the diagnosis, treatment, and care have helped the field of toy breed orthopedics evolve to improve welfare outcomes. Increasingly, small dogs can benefit from the same high standards of orthopedic care as their larger counterparts. Here, Dr Lucas Beierer explains the importance of tailored treatment approaches in these uniquely rewarding pets.
Disclaimer: The article represents the opinion of individual authors exclusively and not necessarily the opinion of AO or its clinical specialties.
Depending on where you are in the world, the kinds of dog that will qualify as a toy breed will vary slightly. However, regardless of how different kennel clubs may categorize them, the fact is that breeds that weigh ten kilograms or less are predisposed to certain developmental and acquired pathologies and are susceptible to very specific types of trauma. Breeds such as chihuahuas, toy poodles, papillons, miniature pinchers, and Pomeranians are, in essence, very little creatures that live their lives in a world full of big people and obstacles—and that exposes them to risks to which bigger dogs are decidedly less vulnerable.
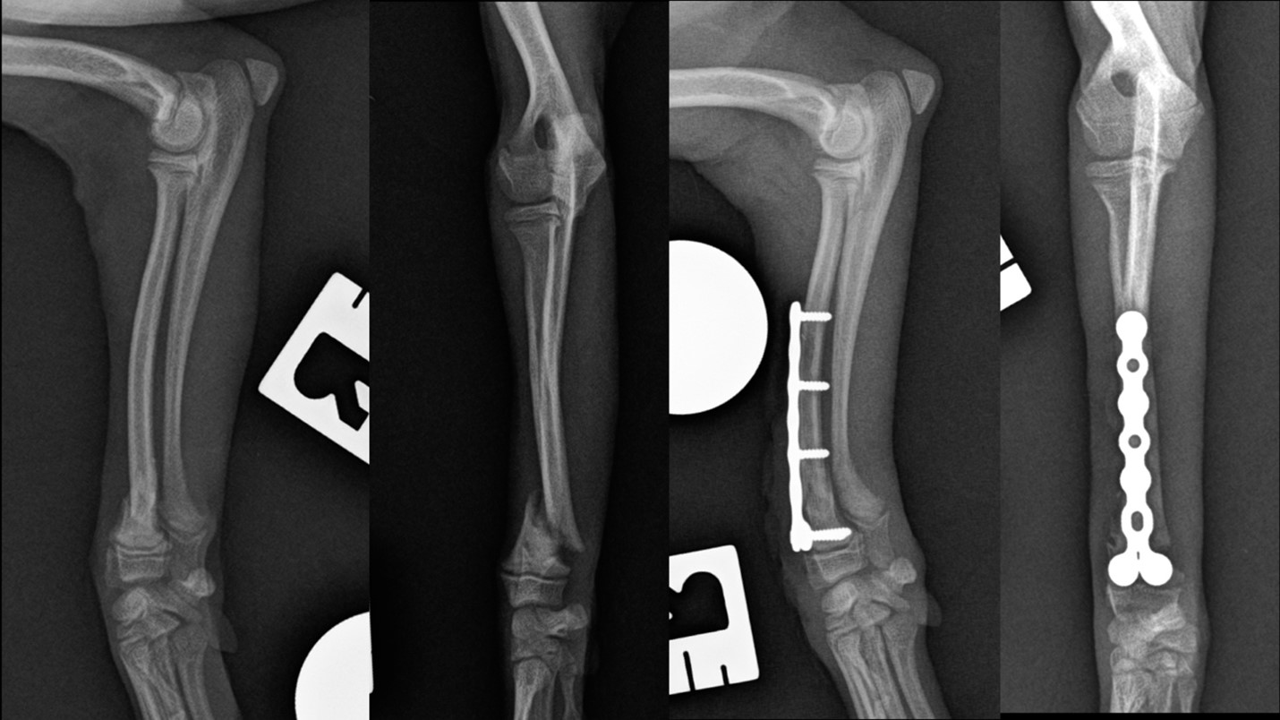
Falling from heights is one classic example. In fact, among the most common conditions that we as veterinarians encounter in toy dog breeds—are radius and ulna fractures secondary to falls. Their bones are comparably small and fragile, and because these animals often live what you might call a high-rise existence, with large couches to jump off and children who cuddle them and let them leap from their arms, this is a very common pathology.
Unique challenges
Toy breed dogs have bones susceptible to low energy fractures. Cross sectional geometric evaluation has identified that the antibrachii of toy breed dogsare more susceptible to fracture when proportionally loaded than those of large breed dogs due to morphological differences. Many of these fractures are very distal and commonly approach a juxta-articular configuration—breaks that occur just above the joint—creating practical challenges for surgeons with finite bone stock to navigate for fixation.
Another challenge, is the fact that the perfusion of radius and ulna fractures in toy breeds is different to what we see in bigger dogs. Bones are supplied with blood via the central canal as well as from the muscles around the bone and the periosteum—the network of vessels that run over the periphery of the bone. In small-breed dogs, a decrease in vascular density at the distal diaphyseal-metaphyseal junction compared with large-breed dogs has been documented. This regional association suggests that a decreased vascular supply in the distal radius may contribute to a higher frequency of delayed union and nonunion in smaller dogs. When the location of a break is very low down on the bone, there are very few muscles present—commonly referred to as a poor soft tissue envelope. So, having a strategy to accommodate and plan for that is important.
There are specific fracture configurations that seem to occur predominately in developing small breed dogs. An example of this are proximal tibial metaphyseal fractures (also called proximal metaphyseal curvilinear tibial fractures). They seem to occur predominately in immature small dogs. The reported outcomes and relatively high complication rates in recent publications have highlighted the challenges these fracture configurations represent and a need to better understand the pathobiology and ideal treatment recommendations. Descriptions of plating, pinning, external skeletal fixation and non surgical management have been described. Although most fractures will heal, mostly due to the juvenile biology (so called ‘healing machines’), limb function can be compromised if a tibial deformity occurs.
Advancements in implants
Any implant we may want to use must be correspondingly small. The implants that have traditionally been available have not always necessarily been compatible with the kind of bone size that is characteristic of toy breed dogs. There has been a relative explosion of smaller implants from a range of different veterinary implant manufactures from around the world in recent years.
For instance, in 2020, the AO Technical Commission, gained approval for the Synthes mini fragment plates. These plates are smaller than traditional ones and the tolerances and precision required for successful application exist on a very narrow spectrum. And it is of course equally important for colleagues to understand that these new implants exist and under which circumstances they should select a certain size implant over another. Locking and non locking internal fixation systems are now accessible from as small as 1.0mm.
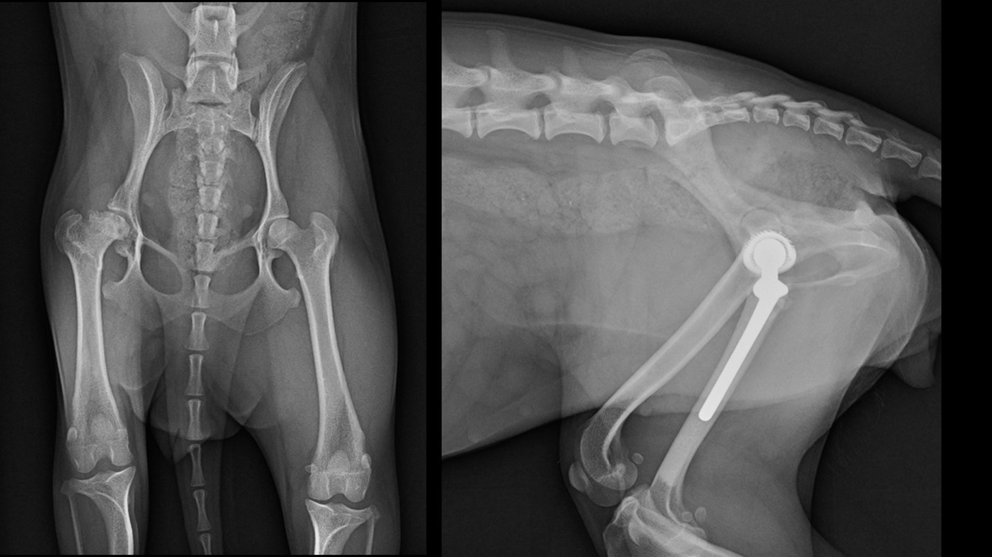
In many ways, the treatment of orthopedic conditions in toy dog breeds is still very much an evolving facet of veterinary science. Treatment modalities for toy dog breeds are increasingly paralleling those for standard and large breed dogs. Hip replacements are a prime example. There is an old—and unproven—adage among some veterinarians that small breed dogs do not have the mechanical need for hip replacements and that these breeds will function just fine with a false hip joint resulting from a femoral head ostectomy (FHO).
Traditionally, an FHO would have been the go-to therapy for conditions like avascular necrosis of the femoral head. However, it has never been well-documented that the outcomes are consistently positive, and there is mounting evidence that an FHO, while still commonly performed for small toy dog breeds, is probably not the best standard of care to offer to these animals. At the same time, more and more evidence shows that hip replacements in tiny dogs are regularly successful. In fact, there are now several joint replacement systems available for veterinary use that can be applied to toy breed dogs.
Changing perceptions
As a profession, we should recognize that the treatment options for toy dog breeds increasingly mirror those available for standard and large breed dogs. Acknowledging that toy breeds manifest lameness in different ways and adjusting our clinical examination techniques and expectations considering this. Toy breeds move so quickly and have a very different movement pattern in comparison to larger breeds. In addition, the object of focus within our field of view is much smaller. Detecting lameness or soreness in dogs is challenging at the best of times, but these discrepancies in size and movement only serve to exacerbate this. Critically appraising these animals for muscle mass discrepancies is a useful technique for detecting signs of pain and lameness that owners may not recognize. We need to challenge ourselves to be more critical about our own expectations for these dogs and make sure that we provide treatment options that reflect best function.
There also is a geographical dimension to these perspectives, appreciating that the regional distribution of toy breed dog popularity is changing. A vet’s experience in treating small breeds really depends on where in the world they practice. If they work in Japan or South Korea, they are much more likely to routinely treat toy breeds than clinicians in rural Texas for example. But with the increasing trend towards apartment living throughout the world, uptake in toy breed ownership seems to be increasing. It is incumbent on clinicians worldwide to keep abreast of advancing techniques and offerings in this space.
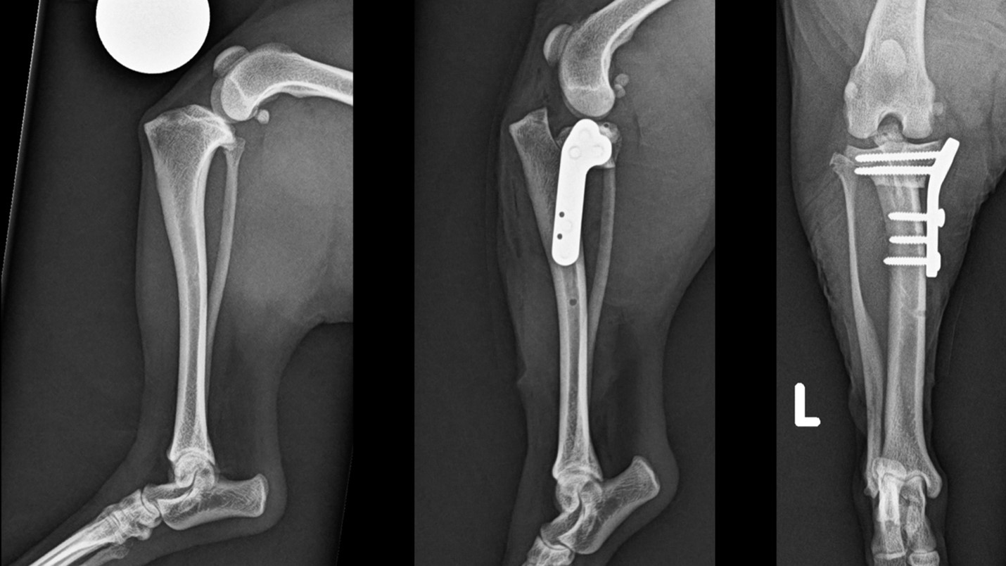
The profession has routinely recommended surgery for medium and large breed dogs for many years, with mounting evidence of the superiority of plateau levelling procedures. Tibial plateau levelling osteotomy (TPLO) is widely performed for large and medium-sized dogs, but less frequently so for small breeds. Despite very limited and quite poor evidence supporting conservative management, non surgical management of small dogs with a rupture cruciate has historically been very common.
This is in spite of the fact that specialized equipment and implants for executing a TPLO on toy breed dogs has been routinely available for over a decade. Fortunately there is now a growing body of published evidence documenting the safety and biomechanical value of this procedure in this cohort. The bottom line is that surgery is a completely realistic prospect these days even for small and toy breed dogs, and really, we should—and we can—recommend surgery over conservative management much more regularly. The latter typically leads to an inferior outcome for these pets, and they deserve better.
An area of growing understanding is in the treatment of these dogs with both cranial cruciate ligament rupture and patella luxation. These are two different but related problems in the stifle. The literature describes a plethora of approaches, and the decision-making process can be very challenging. When should we prioritize one problem versus prioritizing both problems? What techniques should be combined and in what cases should they not? Does the morbidity of correcting a commonly chronic and complex biomechanical issue (patella luxation) alongside the more recent issue (cruciate rupture) make sense in each case?
I believe that the potential for improvement in the profession is huge if we can better understand the fact that the mechanical requirements for toy breeds are very much the same as they are for big dogs.
Steep learning curve
The rapid evolution of surgical equipment and implants has contributed hugely to rising success rates and increasing complexity of surgical procedures in toy dogs. It is pivotal that the sharing of ideas and practitioner education is prioritized to disseminate these techniques and ensure they are being applied safely and effectively. Selecting the appropriate technique (e.g., TPLO vs lateral suture for cruciate disease) requires an appreciation that historic recommendations have evolved.
Practitioners must also have an awareness of the intricacies of executing these techniques on small dogs. The fact that you have performed a particular procedure in a 20-kilo dog does not mean that you will be able to do the same in a three-kilo dog. There is a considerable learning curve to be overcome, because the margin for error with these little dogs is so small.
There are a range of opportunities for clinicians to gain experience and refine their understanding such as the AO’s fellowship program. AO VET is also excited to offer a new Masters course focusing on toy breed orthopedics and traumatology.
About the author:
Beierer has been an active AOVET faculty since 2017 and serves on the AO VET Technical Commission Small Animal Expert Group. He's an experienced educator and loves to share technical aspects of surgery which improves safety and efficacy. Lucas is pictured with his Papillon mate of 16 years, Astra.
You might also be interested in:
Upcoming AO VET courses and events
Find all upcoming AO VET courses and events in your region and beyond the Course Finder or download the current Course Calendar.
Toy Breeds at AO Davos Courses
An AO VET masters course on Toy Breeds orthopedics and traumatology will take place at the AO Davos Courses in December 2025. Stay tuned for more!
AO VET Fellowships
AO VET members have access to a wealth of opportunities to gain experience and refine their skills. Open calls for fellowships and information on host centers are published on the webpage.
AO VET Guest Blog
For more insights directly from the AO VET community or to take part in the discussion with your own post, visit the AO VET Guest Blog.
Read more, for example, about lameness in dogs, and other related titles.




