Should we add lateral suture stabilization to TPLO in dogs with severe rotational instability?
BY DR SHANTI JHA
Tibial Plateau Leveling Osteotomy (TPLO) has revolutionized the treatment of cranial cruciate ligament (CCL) rupture in dogs, providing excellent outcomes for the vast majority of patients. However, a subset of cases presents with severe multidirectional instability that challenges the traditional TPLO-only approach. These dogs—often large breeds with significant rotational laxity and internal rotation—may benefit from concurrent lateral suture stabilization. But when should we consider this combined approach, and what does the evidence tell us about its efficacy?
-
Read the quick summary:
- Dr Shanti Jha reviews the evidence for adding lateral suture stabilization to TPLO procedures
- TPLO alone leaves 6x greater rotational instability compared to intact stifles, particularly problematic in severe cases.
- Combined TPLO with lateral suture completely eliminates both craniocaudal and rotational instability.
- Reserved for specific indications: severe rotational laxity, multidirectional instability, and cases with persistent internal rotation.
- Clinical outcomes show 100% satisfactory results when properly indicated, though complication rates are higher than TPLO alone.
Disclaimer: The article represents the opinion of individual authors exclusively and not necessarily the opinion of AO or its clinical specialties.
TPLO and rotational stability: addressing the biomechanical gap
The success of TPLO lies in its ability to eliminate cranial tibial thrust by reducing the tibial plateau angle to approximately 5°. This biomechanical principle effectively addresses the primary instability pattern in CCL-deficient stifles. However, recent research has revealed a critical limitation: TPLO's incomplete control of rotational instability.
Several biomechanical study demonstrated that while TPLO successfully eliminates craniocaudal instability, it leaves rotational instability largely unaddressed—with affected joints showing 6x greater rotational laxity compared to intact stifles. This finding has profound implications for dogs presenting with severe multidirectional instability, particularly those with significant internal rotation.
The rationale for combining lateral suture stabilization with TPLO lies in addressing this biomechanical gap. Lateral suture techniques, when properly applied, can effectively control rotational instability while TPLO addresses the primary craniocaudal displacement. This combined approach targets both planes of instability, potentially providing more complete joint stabilization.
What the evidence shows: clinical outcomes of combined procedures
A comprehensive review of the literature reveals compelling evidence for concurrent lateral suture placement in specific cases.
Clinical Outcomes (multiple studies):
- 100% satisfactory owner outcomes (~80% excellent, 20% good)
- Significant improvement in lameness scores and functional recovery
- Effective management of complex multidirectional instability
Biomechanical evidence (multiple studies):
- Complete elimination of both craniocaudal and rotational instability when procedures are combined
- Restoration of near-normal joint kinematics across all planes of motion
- Superior control of internal rotation compared to TPLO alone
Complication rates:
- Most complications were minor and manageable
- No increase in catastrophic failures when properly indicated
Clinical indications: when to consider the combined approach
The evidence supports concurrent lateral suture placement in specific clinical scenarios.
Primary indications:
- Severe rotational instability, particularly with internal rotation
- Multidirectional joint laxity that persists after TPLO completion
- Traumatic stifle luxation with multiple ligament injuries
- Intraoperatively detected residual instability following TPLO
Patient factors:
- Large breed dogs with significant body weight and activity demands
- Dogs with pre-existing angular limb deformities
- Cases with concurrent collateral ligament injury
- Revision surgeries for failed previous procedures
The key is intraoperative assessment. Even in cases where severe instability is suspected preoperatively, the final decision should be based on direct evaluation of joint stability following TPLO completion.
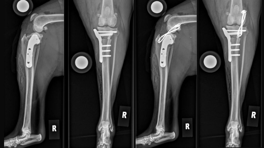
Case report: combined TPLO and lateral suture in a large breed dog
A 4-year-old, 39 Kilogram German Shepherd mix dog presented with acute onset left hindlimb lameness following a high-energy trauma. Physical examination revealed complete CCL rupture with marked internal rotation, significant drawer motion and tibial thrust.
Preoperative assessment indicated this was not a typical CCL rupture case. The degree of rotational laxity suggested that TPLO alone might not provide adequate stabilization. Given the dog's size, activity level, and the severity of instability, a combined approach was planned.
Surgical procedure:
TPLO was performed using standard technique, achieving a tibial plateau angle of 4.3° post operatively. However, intraoperative assessment following TPLO completion revealed persistent rotational instability, particularly internal rotation. Two strands of 40-pound nylon lateral suture was placed using a modified extracapsular technique to address the residual rotational laxity.
Postoperative course:
The patient followed a standard TPLO rehabilitation protocol with excellent compliance. At 12 weeks post-surgery, radiographs confirmed complete osteotomy healing with no evidence of implant complications. Functional assessment revealed complete resolution of instability with return to normal activity levels.
This case demonstrates the value of intraoperative decision-making and the effectiveness of combined procedures when properly indicated. The addition of lateral suture stabilization addressed the rotational component that TPLO alone could not control.
Technical considerations and surgical nuances
When considering concurrent lateral suture placement, several technical factors warrant attention.
Suture material and strength:
- 40–80 pound nylon suture typically appropriate for large breed dogs
- Suture strength should match patient size and activity demands
- Proper tensioning critical to avoid over-constraint
Timing of placement:
- Lateral suture placed after TPLO completion and stability assessment
- Allows for objective evaluation of residual instability
- Prevents unnecessary procedures in cases where TPLO alone is sufficient
Surgical technique:
- Modified extracapsular technique most commonly employed
- Attention to anatomical landmarks and proper suture routing
- Integration with TPLO approach to minimize surgical trauma
- The incision should be enlarged proximally and laterally spanning the joint
Limitations and future directions
While the current evidence supports concurrent lateral suture placement in specific cases, several limitations exist:
Research gaps:
- Limited long-term follow-up studies comparing combined vs. TPLO-only approaches
- Lack of standardized criteria for case selection
- Need for prospective studies with objective outcome measures
Technical standardization:
- Variability in lateral suture techniques and materials
- No consensus on optimal suture tension or fixation methods
- Limited guidelines for intraoperative decision-making
Future research should focus on developing standardized selection criteria, comparing long-term outcomes, and establishing technical guidelines for the combined procedure.
Take-home messages
The decision to add lateral suture stabilization to TPLO should be based on careful assessment of individual patient factors and intraoperative findings. While not routinely indicated, this combined approach can be highly effective in dogs with severe multidirectional instability.
Key clinical points:
- TPLO alone may leave significant rotational instability unaddressed in severe cases
- Combined procedures show excellent clinical outcomes when properly indicated
- Intraoperative assessment is crucial for appropriate case selection
- Higher complication rates are acceptable given the complexity of cases requiring combined treatment
Practical recommendations:
- Reserve combined procedures for cases with documented severe rotational instability
- Perform intraoperative stability assessment following TPLO completion
- Consider patient factors including size, activity level, and injury mechanism
- Ensure appropriate surgical expertise and postoperative management capabilities
The evidence clearly supports the judicious use of concurrent lateral suture stabilization in appropriately selected cases. As our understanding of stifle biomechanics continues to evolve, this combined approach represents an important tool for managing complex CCL injuries that challenge traditional treatment paradigms.
Planning the lateral suture – Step 1 TPLO premormed – Step 2 Nylon 40 lbs as lateral suture:
TPLO without the Lateral Suture – Rendering the same TPLO with nylon suture, CC and ML view:
About the author:
Dr Shanti Jha, BVSc & AH, DACVS-SA, is a board-certified veterinary surgeon with over two decades of experience in small animal orthopedics and minimally invasive surgery. Dr Jha has performed over 4,000 TPLO procedures throughout his career. He previously held leadership positions as Chief of Surgery at VCA Veterinary Specialists of Seattle and National Director of Surgery at Thrive Pet Healthcare.
Dr Jha is an internationally recognized expert in minimally invasive surgical techniques, specializing in fracture repair, joint surgeries, and arthroscopic procedures. He actively contributes to the advancement of veterinary surgical education worldwide as a Board Member of AO VET and serves as faculty for international training programs. Additionally, he is an Adjunct Professor in the Department of Surgery at Bihar Veterinary College, Patna, India, and a reviewer for several respected scientific journals.
His clinical interests focus on orthopedic surgery, particularly complex stifle procedures, fracture management, and joint replacement surgeries, with a commitment to patient-centered care and surgical innovation. Dr Jha's extensive experience in both clinical practice and surgical education has established him as a leading authority in veterinary orthopedic surgery.
His research interests center on the transformative potential of artificial intelligence in surgical education, exploring how AI technologies can enhance learning outcomes, improve skill acquisition, and advance veterinary surgical training methodologies.
Dr Jha earned his BVSc and AH with honors from Nagpur Veterinary College, India (2001), followed by an MS from Oregon State University (2005), and completed his surgical residency at Tufts Cummings School of Veterinary Medicine before becoming a Diplomate of the American College of Veterinary Surgeons – Small Animal in 2013.
References and further reading:
-
Schaible RH, et al. Clinical outcomes of tibial plateau leveling osteotomy combined with lateral suture stabilization. J Am Vet Med Assoc. 2017; Apr; 58(4):219-226.
-
Brown. N, et al. Canine cranial cruciate ligament deficient stifle biomechanics associated with extra-articular stabilization predicted using a computer model. Vet Surg 2017 Jul;46(5):653-662.
-
Effect of Tibial Plateau Leveling Osteotomy on Femorotibial Contact Mechanics and Stifle Kinematics. Vet. Surg.2009 38(1):23-32
You might also be interested in:
AO VET Education
AO VET delivers life-long education through coursers and training worldwide which focus on methods, including innovative peer-to-peer courses, e‑learning opportunities, and hands-on experience through sponsored fellowships.
AO VET Membership
Members get more! Join our community after attending an educational event to connect with a core group of individuals in the veterinary field and gain access to exclusive privileges and educational resources.
The AO Surgery Reference
Supporting you from patient assessment to aftercare on fracture management in the horse, dog, and cat. Most anatomical regions are exclusively AO VET members only.
AO VET Guest Blog
The AO VET Guest Blog highlights diverse views and perspectives from the community around the world. It showcases hot topics, experiences, controversies, and learnings.



