1.3 Locking System for veterinary use
Michael Kowaleski, Erik Asimus, Loic Déjardin, W Brian Saunders
The 1.3 Locking System is intended for the treatment of fracture and arthrodesis in canines and felines weighing less than 2 kg. This recently approved system, developed by our industrial partner DePuy Synthes in collaboration with the Small Animal Expert Group (SAEG) is a solution for fracture management in the smaller breed canine and feline population for which the 1.5 LCP System is too large.
The 1.3 Locking System consists of stainless steel 1.3 mm screws, locking plates, instruments, and an implant module set. The set contains an extensive range of implant options (Fig 1) to accommodate various fracture types and locations. 1.3 mm locking and cortex screws are compatible with 1.5 mm LCP plates.
The plates are low profile to minimize soft-tissue irritation (Fig 2). Stacked combi holes allow the use of a locking screw or a cortex screw in the same round conical plate hole (Fig 3) and the cut-to-length feature (Fig 4) minimizes inventory.
Screws are self-tapping and possess a self-retaining Star Drive recess which allows improved torque transmission and an increased resistance to stripping (Fig 5). The threaded head profile creates a fixed angle construct, and its low profile means that it sits flush with the surface of the plate.
The following two cases provided by SAEG member Erik Asimus illustrate common canine fractures in miniature breed dogs. Each fracture is treated with a different option dependent on the size of the radius and the ulna, the weight of the dog, and the type of fracture.
Case 1
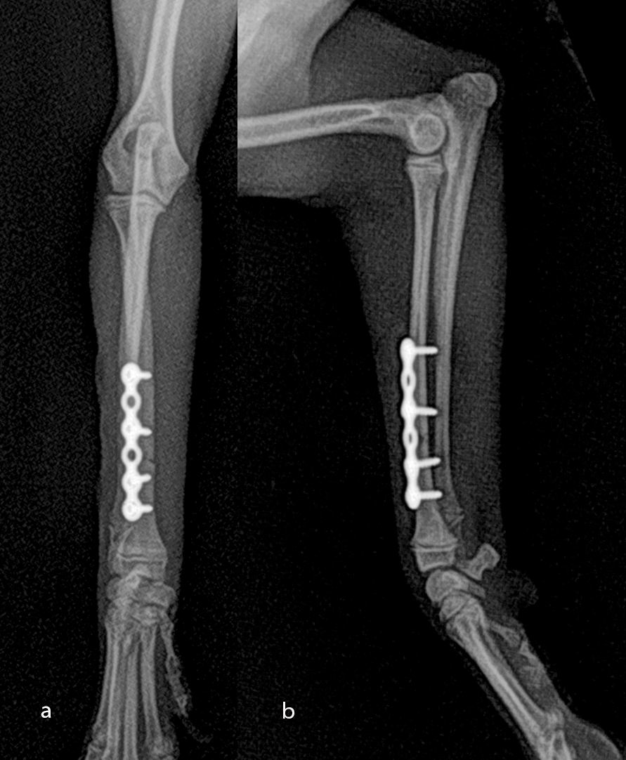
Open reduction and internal fixation of distal radial and ulna fractures with a single 1.3 radial plate (Fig 6).
The patient was a 6-month-old, 1 kg (exactly 0.950 kg) Pomeranian dog presenting with a radial fracture of the left thoracic limb after a jump from ≈ 50 cm. The 1.5 mm System was too large for the width of the radius (2.2 mm) and the width of the radial medullary canal (0.5 mm) (Fig 7). The 1.3 mm adaptation plate was a perfect plate for this fracture. This plate option permitted the use of cortex and locking screws.
An open but do-not-touch approach was performed, and the plate was fixed with one proximal and one distal cortex screws and one proximal and one distal locking screws (Fig 8). After 1 month the fracture of the radius was healed, and the dog had a complete functional recovery (Fig 9).
Case 2
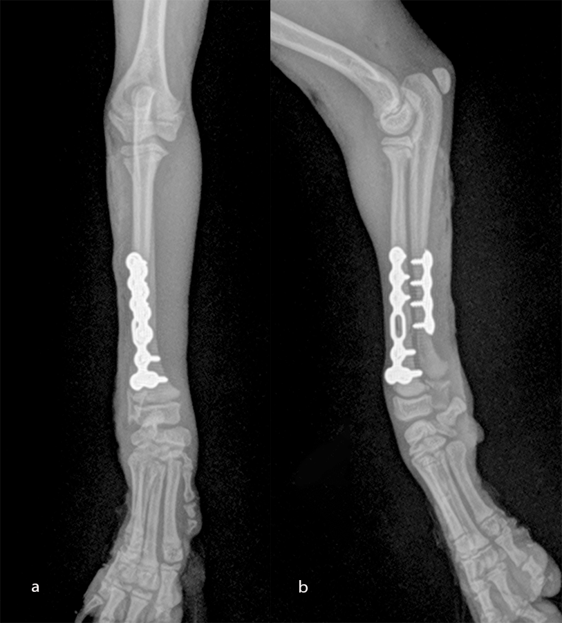
Open reduction and internal fixation of distal radial and ulna fractures with a 1.3 radial plate and a 1.3 ulnar plate (Fig 10).
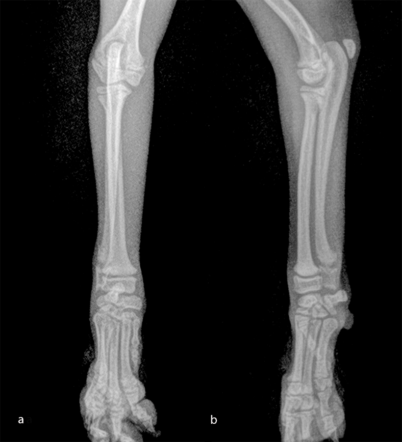
The patient was a 2.5-month-old, 1 kg Japanese Spitz dog presenting with a radial-ulna fracture of the left thoracic limb after a jump from the sofa. The LCP 1.3 T-plate was perfectly adapted for the distal radial fracture. As the dog was "active" and as the ulna was about the same size as the radius (Fig 11), a four-hole LCP 1.3 adaptation plate was used on the ulna.
An open but do-not-touch approach was performed, and the plate was fixed with both cortex screws and locking screws for both plates (Fig 12). After 4 months, the fractures were totally healed with normal bone growth and the dog had a complete functional recovery (Fig 13).
Clinical Application of the 1.3 Locking System
Hazards and labeling
Due to varying countries’ legal and regulatory approval requirements, consult the appropriate local product labeling for approved intended use of the products described on this website. All devices on this website are approved by the AO Technical Commission. For logistical reasons, these devices may not be available in all countries worldwide at the date of publication.
Legal restrictions
This work was produced by AO Foundation, Switzerland. All rights reserved by AO Foundation. This publication, including all parts thereof, is legally protected by copyright.
Any use, exploitation or commercialization outside the narrow limits set forth by copyright legislation and the restrictions on use laid out below, without the publisher‘s consent, is illegal and liable to prosecution. This applies in particular to photostat reproduction, copying, scanning or duplication of any kind, translation, preparation of microfilms, electronic data processing, and storage such as making this publication available on Intranet or Internet.
Some of the products, names, instruments, treatments, logos, designs, etc referred to in this publication are also protected by patents, trademarks or by other intellectual property protection laws (eg, “AO” and the AO logo are subject to trademark applications/registrations) even though specific reference to this fact is not always made in the text. Therefore, the appearance of a name, instrument, etc without designation as proprietary is not to be construed as a representation by the publisher that it is in the public domain.
Restrictions on use: The rightful owner of an authorized copy of this work may use it for educational and research purposes only. Single images or illustrations may be copied for research or educational purposes only. The images or illustrations may not be altered in any way and need to carry the following statement of origin “Copyright by AO Foundation, Switzerland”.
Check www.aofoundation.org/disclaimer for more information.
If you have any comments or questions on the articles or the new devices, please do not hesitate to contact us.
“approved by AO Technical Commission” and “approved by AO”
The brands and labels “approved by AO Technical Commission” and “approved by AO”, particularly "AO" and the AO logo, are AO Foundation's intellectual property and subject to trademark applications and registrations, respectively. The use of these brands and labels is regulated by licensing agreements between AO Foundation and the producers of innovation products obliged to use such labels to declare the products as AO Technical Commission or AO Foundation approved solutions. Any unauthorized or inadequate use of these trademarks may be subject to legal action.
AO ITC Innovations Magazine
Find all issues of the AO ITC Innovations Magazine for download here.
Innovation Awards
Recognizing outstanding achievements in development and fostering excellence in surgical innovation.












