Tibial Plateau Leveling Osteotomy (TPLO)
Procedure
Cranial cruciate ligament tears are a common cause of hind limb lameness in the dog. Medium- and large-size dogs are commonly treated using the tibial plateau leveling osteotomy (TPLO) procedure. Small dogs and cats can suffer the same injury and have traditionally been treated using ligament reconstruction with an extracapsular prosthetic ligament. While this technique can provide adequate results in many small dogs and cats, it does not address underlying shear loads on the stifle that can lead to failure of the replacement ligament and recurrent instability. The slope of the dogs tibial plateau is much greater than their human counterpart, which results in increased shear loads on the canine stifle and a tendency for cranial tibial translation. Over time, this repetitive force can lead to damage and rupture of the cranial cruciate ligament. The TPLO procedure dynamically stabilizes the knee by eliminating cranial tibial subluxation during the weightbearing phase of locomotion. The slope of the tibial plateau of many affected small dogs may be particularly excessive and many surgeons prefer to treat these patients similar to larger dogs using a TPLO.
Tplo 2.0 and 2.4 mm small stature plates
The TPLO system is indicated for osteotomies of the canine proximal tibia and combines plates with a basic instrumentation set. The TPLO plates are precontoured to match the anatomical configuration of the medial aspect of the proximal tibia with a limited contact design and optimal screw placement in the proximal region of the tibia. The plates are available in left and right configurations and feature locking screw technology.
Until recently, the plates were available in four different profiles: 2.7 mm, 3.5 mm small stature, 3.5 mm, and 3.5 mm broad. Now the 2.0 and 2.4 mm TPLO plates have been added to the system for use in small dogs and cats. The plates and screws are available in 316L stainless steel. The TPLO plates can accommodate locking or cortex screws that correspond to the size of the plate used.
The design of the 2.0 and 2.4 mm TPLO plates has been modified from that used with the larger TPLO plates to better align the TPLO plate with the proximal diaphysis of the tibia in small dogs and cats. The plates are placed on the medial surface of the tibia. The plate fits very proximally and just distal to the articular surface. In addition, the neck of the plate sits directly over the osteotomy cut. The screw size and pattern provides sufficient strength in tibias of the dog and cat. The locking holes are appropriately angled so that the screws will not penetrate the joint or the osteotomy when the plate is applied with proper technique.
The head of the plate is also designed to accommodate the placement of a new small positioning jig. This new minijig will be released soon.
Tibial plateau leveling osteotomy can be performed through a small medial incision over the proximal tibia when using arthroscopy to inspect and treat intraarticular structures. Patients will typically walk on the leg soon after surgery. It is recommended to restrict activity for 8 weeks to walking only. The osteotomy typically is healed within 8 weeks and return to function can begin progressively after radiographic evidence of healing. Long-term prognosis is excellent. The implants are typically left in place for the life of the patient, unless implant removal is necessary due to clinical problems.
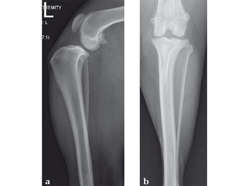
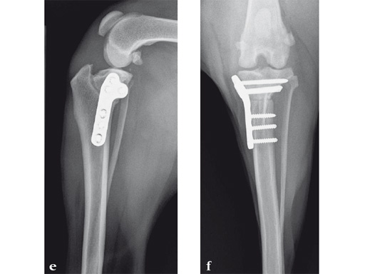
Case 1: Cocker Spaniel
(Case provided by Brian Beale, Houston, USA)
An 11-year-old female, spayed, 13.6 kg cocker spaniel had a complete tear of the left cranial cruciate ligament. A 2.4 mm TPLO plate was perfect for this dog due to the excessive slope of the tibial plateau (30) and the size of the dog. Three 2.4 mm locking screws were used proximally and three 2.4 mm cortical screws were used distally. The contour of this plate matches the contour of the bone almost perfectly. The plate is also designed to optimize the angle of the proximal screws so that they engage the most dense and thickest bone and avoids penetration of the stifle joint.
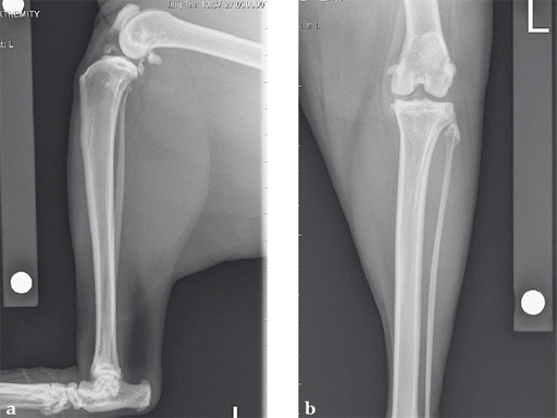
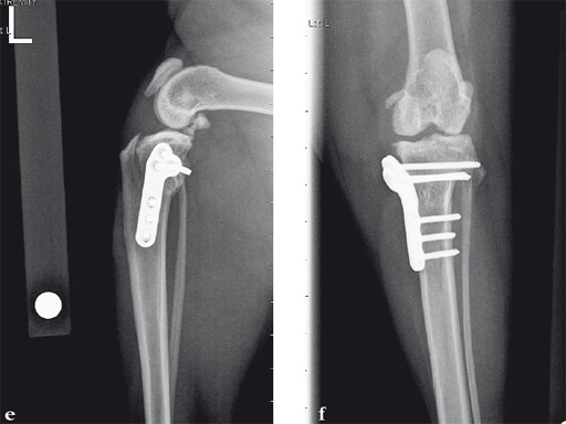
Case 2: Cat
(Case provided by Brian Beale, Houston, USA)
A 10-year-old female, spayed, 6.0 kg cat had a partial tear of the left cranial cruciate ligament, meniscal mineralization, and a medial meniscal tear. The cat was treated with a partial meniscectomy and TPLO . A 2.0 mm TPLO plate was perfect for this cat due to the slope of the tibial plateau (25) and the size of the cat. Three 2.0 mm locking screws were used proximally and three 2.0 mm cortex screws were used distally. The contour of this plate does not perfectly match the contour of the proximal tibia, but use of locking screws in this segment avoids any potential angulation of the segments as the screws are tightened. The cat healed uneventfully and returned to normal function.
Hazards and labeling
Due to varying countries’ legal and regulatory approval requirements, consult the appropriate local product labeling for approved intended use of the products described on this website. All devices on this website are approved by the AO Technical Commission. For logistical reasons, these devices may not be available in all countries worldwide at the date of publication.
Legal restrictions
This work was produced by AO Foundation, Switzerland. All rights reserved by AO Foundation. This publication, including all parts thereof, is legally protected by copyright.
Any use, exploitation or commercialization outside the narrow limits set forth by copyright legislation and the restrictions on use laid out below, without the publisher‘s consent, is illegal and liable to prosecution. This applies in particular to photostat reproduction, copying, scanning or duplication of any kind, translation, preparation of microfilms, electronic data processing, and storage such as making this publication available on Intranet or Internet.
Some of the products, names, instruments, treatments, logos, designs, etc referred to in this publication are also protected by patents, trademarks or by other intellectual property protection laws (eg, “AO” and the AO logo are subject to trademark applications/registrations) even though specific reference to this fact is not always made in the text. Therefore, the appearance of a name, instrument, etc without designation as proprietary is not to be construed as a representation by the publisher that it is in the public domain.
Restrictions on use: The rightful owner of an authorized copy of this work may use it for educational and research purposes only. Single images or illustrations may be copied for research or educational purposes only. The images or illustrations may not be altered in any way and need to carry the following statement of origin “Copyright by AO Foundation, Switzerland”.
Check www.aofoundation.org/disclaimer for more information.
If you have any comments or questions on the articles or the new devices, please do not hesitate to contact us.
“approved by AO Technical Commission” and “approved by AO”
The brands and labels “approved by AO Technical Commission” and “approved by AO”, particularly "AO" and the AO logo, are AO Foundation's intellectual property and subject to trademark applications and registrations, respectively. The use of these brands and labels is regulated by licensing agreements between AO Foundation and the producers of innovation products obliged to use such labels to declare the products as AO Technical Commission or AO Foundation approved solutions. Any unauthorized or inadequate use of these trademarks may be subject to legal action.
AO ITC Innovations Magazine
Find all issues of the AO ITC Innovations Magazine for download here.
Innovation Awards
Recognizing outstanding achievements in development and fostering excellence in surgical innovation.







