TomoFix HTO Small Stature (Asian Version)
Osteoarthritis due to varus deformity of the knee is common in Asian countries. For instance, it is said that 7 million patients need treatment for knee osteoarthritis in Japan. High-tibial osteotomy (closed-wedge or dome) used to be a common procedure for these patients. However, the treatment trend shifted to total knee arthroplasty or unicompartmental knee arthroplasty because of the complications and relatively high rate of failures of the conventional high-tibial osteotomy. Although there is a renewed interest in medial open-wedge high-tibial osteotomy with the TomoFix, the plate was too large for the small stature female patients in Asia. Therefore, the TomoFix HTO small stature (Asian version) was developed by the Knee Expert Group in collaboration with the Asian Pacific Surgery group.
This new plate was developed taking into consideration the requests of knee surgeons in Japan. Based on CT scans of the typical Japanese patient (60-year-old female weighing less than 60 kg), the plate widths at head and shaft, plate radius, and the radii surround were reduced. This improved anatomical fit for the typical small stature patient will decrease pain due to minimizing the risk of complications with wound closure or irritation of soft tissue and skin. High-tibia osteotomy (TomoFix HTO) small stature is indicated for all open-wedge osteotomies on tibiae in small patients with less than 65 kg without postoperative restriction. Otherwise, the small stature version has the same indications as the standard plate TomoFix HTO.
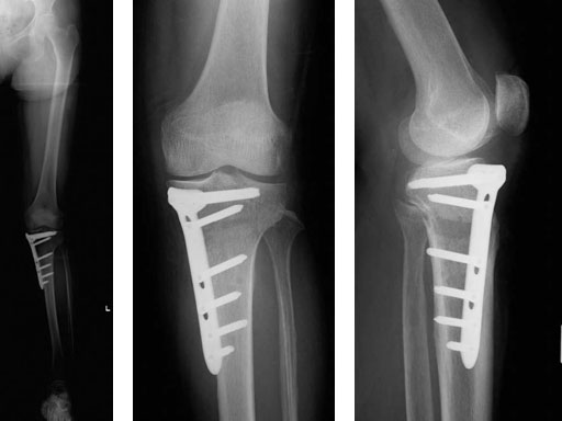
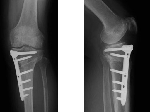
65-year-old female. Osteoarthritic patient complaining of medial knee pain of her left knee.
Case provided by Takeshi Sawaguchi, Toyama, JP
Follow-up in this case is short, because the TomoFix small only became available in August 2008.
Hazards and labeling
Due to varying countries’ legal and regulatory approval requirements, consult the appropriate local product labeling for approved intended use of the products described on this website. All devices on this website are approved by the AO Technical Commission. For logistical reasons, these devices may not be available in all countries worldwide at the date of publication.
Legal restrictions
This work was produced by AO Foundation, Switzerland. All rights reserved by AO Foundation. This publication, including all parts thereof, is legally protected by copyright.
Any use, exploitation or commercialization outside the narrow limits set forth by copyright legislation and the restrictions on use laid out below, without the publisher‘s consent, is illegal and liable to prosecution. This applies in particular to photostat reproduction, copying, scanning or duplication of any kind, translation, preparation of microfilms, electronic data processing, and storage such as making this publication available on Intranet or Internet.
Some of the products, names, instruments, treatments, logos, designs, etc referred to in this publication are also protected by patents, trademarks or by other intellectual property protection laws (eg, “AO” and the AO logo are subject to trademark applications/registrations) even though specific reference to this fact is not always made in the text. Therefore, the appearance of a name, instrument, etc without designation as proprietary is not to be construed as a representation by the publisher that it is in the public domain.
Restrictions on use: The rightful owner of an authorized copy of this work may use it for educational and research purposes only. Single images or illustrations may be copied for research or educational purposes only. The images or illustrations may not be altered in any way and need to carry the following statement of origin “Copyright by AO Foundation, Switzerland”.
Check www.aofoundation.org/disclaimer for more information.
If you have any comments or questions on the articles or the new devices, please do not hesitate to contact us.
“approved by AO Technical Commission” and “approved by AO”
The brands and labels “approved by AO Technical Commission” and “approved by AO”, particularly "AO" and the AO logo, are AO Foundation's intellectual property and subject to trademark applications and registrations, respectively. The use of these brands and labels is regulated by licensing agreements between AO Foundation and the producers of innovation products obliged to use such labels to declare the products as AO Technical Commission or AO Foundation approved solutions. Any unauthorized or inadequate use of these trademarks may be subject to legal action.
AO ITC Innovations Magazine
Find all issues of the AO ITC Innovations Magazine for download here.
Innovation Awards
Recognizing outstanding achievements in development and fostering excellence in surgical innovation.



