Expert Titanium Cannulated Tibial Nail with Proximal Bend
The expert titanium cannulated tibial nail with proximal bend is identical to the existing expert tibial nail system except for the new bend. It is therefore indicated to stabilize fractures of the proximal tibia, distal tibia, and tibia shaft (open and closed). Tibial nonunions and malunions may also be treated with the new nail when an intramedullary implant is deemed appropriate.
The additionally available new tibial nail with proximal bend provides the possibility to choose the optimal solution according to patient anatomy. The new version has a proximal bend of 10.5 with a fixed bend radius of 100 mm at 65 mm from the proximal end and a distal bend of 3 at 52 mm. This version may be used for any fracture pattern and may be preferable in certain populations such as those seen in the Asia Pacific region.
The nail incorporates new features that allow an increased ease of removal of the connecting bolt as well as a more rigid connection between the nail and the insertion instruments.
The new nails are available in diameters from 9 to 13 mm, and in lengths from 255 to 435 mm, in increments of 15 mm.
All other features, such as the proximal and distal locking options and all additional implants and instruments are the same as for the existing expert nail family system.
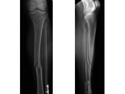
48-year-old male. Tibia shaft fracture with fibula fracture.
Case provided by Hermann Bail, Berlin, DE
Hazards and labeling
Due to varying countries’ legal and regulatory approval requirements, consult the appropriate local product labeling for approved intended use of the products described on this website. All devices on this website are approved by the AO Technical Commission. For logistical reasons, these devices may not be available in all countries worldwide at the date of publication.
Legal restrictions
This work was produced by AO Foundation, Switzerland. All rights reserved by AO Foundation. This publication, including all parts thereof, is legally protected by copyright.
Any use, exploitation or commercialization outside the narrow limits set forth by copyright legislation and the restrictions on use laid out below, without the publisher‘s consent, is illegal and liable to prosecution. This applies in particular to photostat reproduction, copying, scanning or duplication of any kind, translation, preparation of microfilms, electronic data processing, and storage such as making this publication available on Intranet or Internet.
Some of the products, names, instruments, treatments, logos, designs, etc referred to in this publication are also protected by patents, trademarks or by other intellectual property protection laws (eg, “AO” and the AO logo are subject to trademark applications/registrations) even though specific reference to this fact is not always made in the text. Therefore, the appearance of a name, instrument, etc without designation as proprietary is not to be construed as a representation by the publisher that it is in the public domain.
Restrictions on use: The rightful owner of an authorized copy of this work may use it for educational and research purposes only. Single images or illustrations may be copied for research or educational purposes only. The images or illustrations may not be altered in any way and need to carry the following statement of origin “Copyright by AO Foundation, Switzerland”.
Check www.aofoundation.org/disclaimer for more information.
If you have any comments or questions on the articles or the new devices, please do not hesitate to contact us.
“approved by AO Technical Commission” and “approved by AO”
The brands and labels “approved by AO Technical Commission” and “approved by AO”, particularly "AO" and the AO logo, are AO Foundation's intellectual property and subject to trademark applications and registrations, respectively. The use of these brands and labels is regulated by licensing agreements between AO Foundation and the producers of innovation products obliged to use such labels to declare the products as AO Technical Commission or AO Foundation approved solutions. Any unauthorized or inadequate use of these trademarks may be subject to legal action.
AO ITC Innovations Magazine
Find all issues of the AO ITC Innovations Magazine for download here.
Innovation Awards
Recognizing outstanding achievements in development and fostering excellence in surgical innovation.

