Locking Navicular Plate 2.4
The locking navicular plate is designed for dorsal application but can be used medially as well. It has multiple points of fixation on the main row, which sits proximally and the arms, which sit distally. The plate can be contoured as needed to fit the navicular, and to make sure the screws do not penetrate the hemispherical underlying talonavicular joint.
The LCP foot plates (cuboid, talus and navicular) are intended for use in selective fractures, osteotomies, reconstructive procedures and revisions of the foot.
The plates have a locking hole for many sizes of locking head and nonlocking head screws. They are designed for optimal fit in each anatomic area. Connecting ribs between the plate holes enable easy bending and contouring of the plates. The plates are of a boss and rib design, in which the weakest cross section is across the connecting ribs. When the plate is contoured, it deforms across the connecting ribs and not across the bosses. This assures that the threaded locking holes maintain their ability to lock to the screws distorting the internally-threaded holes.
The plates are available in 316L stainless steel.
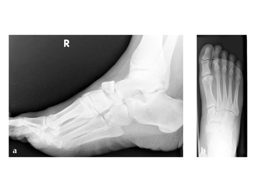
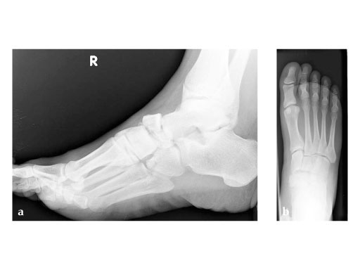
41-year-old male with a motor vehicle accident
Case provided by Thomas Tarquinio, Jackson, US
Hazards and labeling
Due to varying countries’ legal and regulatory approval requirements, consult the appropriate local product labeling for approved intended use of the products described on this website. All devices on this website are approved by the AO Technical Commission. For logistical reasons, these devices may not be available in all countries worldwide at the date of publication.
Legal restrictions
This work was produced by AO Foundation, Switzerland. All rights reserved by AO Foundation. This publication, including all parts thereof, is legally protected by copyright.
Any use, exploitation or commercialization outside the narrow limits set forth by copyright legislation and the restrictions on use laid out below, without the publisher‘s consent, is illegal and liable to prosecution. This applies in particular to photostat reproduction, copying, scanning or duplication of any kind, translation, preparation of microfilms, electronic data processing, and storage such as making this publication available on Intranet or Internet.
Some of the products, names, instruments, treatments, logos, designs, etc referred to in this publication are also protected by patents, trademarks or by other intellectual property protection laws (eg, “AO” and the AO logo are subject to trademark applications/registrations) even though specific reference to this fact is not always made in the text. Therefore, the appearance of a name, instrument, etc without designation as proprietary is not to be construed as a representation by the publisher that it is in the public domain.
Restrictions on use: The rightful owner of an authorized copy of this work may use it for educational and research purposes only. Single images or illustrations may be copied for research or educational purposes only. The images or illustrations may not be altered in any way and need to carry the following statement of origin “Copyright by AO Foundation, Switzerland”.
Check www.aofoundation.org/disclaimer for more information.
If you have any comments or questions on the articles or the new devices, please do not hesitate to contact us.
“approved by AO Technical Commission” and “approved by AO”
The brands and labels “approved by AO Technical Commission” and “approved by AO”, particularly "AO" and the AO logo, are AO Foundation's intellectual property and subject to trademark applications and registrations, respectively. The use of these brands and labels is regulated by licensing agreements between AO Foundation and the producers of innovation products obliged to use such labels to declare the products as AO Technical Commission or AO Foundation approved solutions. Any unauthorized or inadequate use of these trademarks may be subject to legal action.
AO ITC Innovations Magazine
Find all issues of the AO ITC Innovations Magazine for download here.
Innovation Awards
Recognizing outstanding achievements in development and fostering excellence in surgical innovation.


