Variable Angle LCP Two-Column Volar Distal Radius 2.4
The is plate is part of the Variable Angle LCP Distal Radius System 2.4 (please see separate article) which is indicated for fixation of complex intraarticular fractures and osteotomies of the distal radius and other small bones.
The plates come in a left and right version. The plate head has a 6-hole and a 7-hole head option, the shaft features 2-, 3-, and 4-hole versions. In total, twelve different plates are available (see also case below).
2.4 mm VA -LCP Two-Column Volar Distal Radius (Narrow), for Small Stature
The 2.4 mm variable angle LCP two-column volar distal radius system has been expanded by the addition of a small stature version in particular for narrow radii of small-statured patients because the current 6-hole version may be too wide for this group of patients. The middle holes in the plate head have been merged, the plate angle lowered from 2520, the corners made rounder on radial and ulnar edges, and the divergent predefined screw angles increased. The narrow plate also comes in a left and right version with four different shaft lengths (4272 mm / 25 holes) and two corresponding guide blocks. The plates are available in stainless steel or titanium, sterile, and nonsterile. A trial implant allows determination of correct plate size in regions with sterile implants only. This trial implant may be fixed temporarily through K-wire holes.
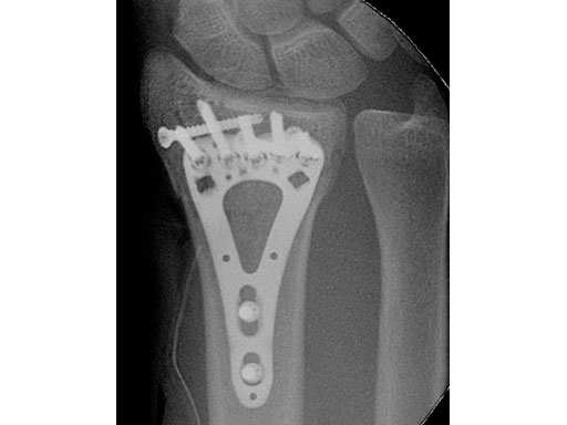
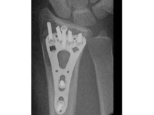
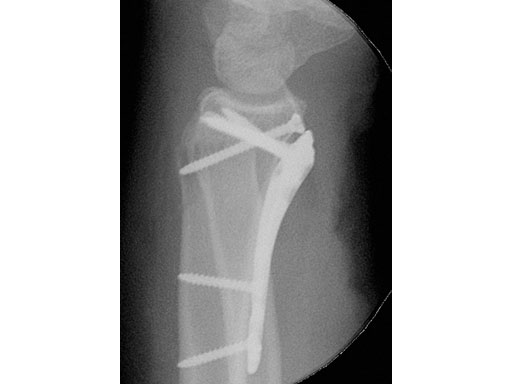
22-year-old male fell off a horse while playing polo.
Case provided by Ladislav Nagy, Zrich, CH
Fig 1a-b Preoperative x-rays.
Fig 2af Preoperative 3-D CT scans.
Fig 3ac Immediate postoperative x-rays.
Fig 4ab X-rays 3 months postoperatively.
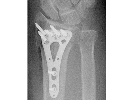
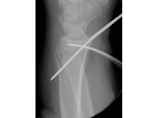
A young woman, 1,5 m tall, 45 kg, sustained a very distal C1.1 fracture of the distal radius.
Fig 1 Intraoperative view showing reposition of the radiocarpal joint with the K-wire.
Fig 2 Stabilization of the radiocarpal articular surface with one single 2.4 mm screw at the level of the watershed line, and narrow plate below the watershed line.
Fig 3ac Postoperative x-rays showing comparison of plate alternatives.
a Four-hole small.
c Five-hole.
Case provided by Martin Langer, Mnster, Germany
Hazards and labeling
Due to varying countries’ legal and regulatory approval requirements, consult the appropriate local product labeling for approved intended use of the products described on this website. All devices on this website are approved by the AO Technical Commission. For logistical reasons, these devices may not be available in all countries worldwide at the date of publication.
Legal restrictions
This work was produced by AO Foundation, Switzerland. All rights reserved by AO Foundation. This publication, including all parts thereof, is legally protected by copyright.
Any use, exploitation or commercialization outside the narrow limits set forth by copyright legislation and the restrictions on use laid out below, without the publisher‘s consent, is illegal and liable to prosecution. This applies in particular to photostat reproduction, copying, scanning or duplication of any kind, translation, preparation of microfilms, electronic data processing, and storage such as making this publication available on Intranet or Internet.
Some of the products, names, instruments, treatments, logos, designs, etc referred to in this publication are also protected by patents, trademarks or by other intellectual property protection laws (eg, “AO” and the AO logo are subject to trademark applications/registrations) even though specific reference to this fact is not always made in the text. Therefore, the appearance of a name, instrument, etc without designation as proprietary is not to be construed as a representation by the publisher that it is in the public domain.
Restrictions on use: The rightful owner of an authorized copy of this work may use it for educational and research purposes only. Single images or illustrations may be copied for research or educational purposes only. The images or illustrations may not be altered in any way and need to carry the following statement of origin “Copyright by AO Foundation, Switzerland”.
Check www.aofoundation.org/disclaimer for more information.
If you have any comments or questions on the articles or the new devices, please do not hesitate to contact us.
“approved by AO Technical Commission” and “approved by AO”
The brands and labels “approved by AO Technical Commission” and “approved by AO”, particularly "AO" and the AO logo, are AO Foundation's intellectual property and subject to trademark applications and registrations, respectively. The use of these brands and labels is regulated by licensing agreements between AO Foundation and the producers of innovation products obliged to use such labels to declare the products as AO Technical Commission or AO Foundation approved solutions. Any unauthorized or inadequate use of these trademarks may be subject to legal action.
AO ITC Innovations Magazine
Find all issues of the AO ITC Innovations Magazine for download here.
Innovation Awards
Recognizing outstanding achievements in development and fostering excellence in surgical innovation.
