Matrix Orthognathic System

For many craniomaxillofacial surgeons, orthognathic surgery procedures are a common part of their clinical practice. The aim of this type of surgery is to correct conditions of the jaw and face related to structure, growth, jaw alignment, and joint disorders, or to correct occlusal problems for which braces or other nonsurgical treatments would be inadequate. The most important procedures in orthognathic surgery are maxillary and/or mandibular osteotomies to advance or set back the respective jaw utilizing the AO principles.

 

Fig 1 Complete set of plates and screws.

The new matrix orthognathic system was developed to address the procedure-specific requirements obtained from CMF surgeons feedback from 14 countries: according to this survey the most critical features for an orthognathic system are:

  • Easy to handle (42%)
  • User-friendly (39%)
  • Screw engagement (36%)
  • Easy to bend plates (33%)
  • Better screw retention (30%)
  • Assorted shapes (24%)

 

Fig 2 (left) 0.5 mm blue curved L-plate.

Fig 2 (right) 0.5 mm blue L-plate.


A simple, yet comprehensive solution

It is the newest addition to the matrix platform for internal fixation of the craniomaxillofacial skeletonalready addressing neuro, craniofacial, and mandibular surgical procedures. As with all systems of the matrix family it is simple yet very effective and efficient.

 

Fig 3 (left) 0.7 mm pink curved L-plate.

Fig 3 (right) 0.7 mm pink L-plate.


This new system offers one standard screw diameter for all orthognathic indications both in the midface and mandible and consequently only one screwdriver blade is needed for all screws.

In addition, some of the plates are reversible and can be used on both the right and left sides allowing for a significant reduction of the implant inventory. The maxillary L-plates, as well as the BSSO-plate, show etched lines in 1 mm increments providing visual aid for plate bending and adaptation with the desired movement in mind.

The color-coding of the implants in the matrix orthognathic system helps to identify the strength of the implant. The color-coding scale for plates and screws conforms to the matrix system strength color-coding scheme.

 

Fig 4 (left) 0.8 mm gold curved L-plate.

Fig 4 (right) 0.8 mm gold L-plate.


Screws

The matrix orthognathic system offers one screw diameter (1.85 mm) for all orthognathic indications: depending on the individual surgeons preference; these are either self-tapping (blue) or self-drilling (purple) screws. They have a coarse pitch for bicortical placement, as well as improved retention, and are available in 48 mm length (0.6 mm thread pitch) and 1018 mm (1.0 mm thread pitch).

2.1 mm self-tapping (pink) emergency screws, 1.5 mm self-tapping (bronze) and 1.5 mm self-drilling (silver) are also available on request for specific indications or for surgeons preference. All screws are made of titanium alloy (Ti-6Al-7Nb). The standard 1.5 mm diameter screw (known to many surgeons) from the matrix midface system is also compatible with the plates in the matrix orthognathic system.

 

Fig 5 Complete orthognatic skull.


Plates

The matrix orthognatic system also offers a variety of plates for bone fixation in LeFort I as well as bilateral sagittal split osteotomy (BSSO) procedures. Three different plate thicknesses are available:

  • 0.5 mm thick plates (blue)
  • 0.7 mm thick plates (pink)
  • 0.8 mm thick plates (gold)

 

Fig 6 Plate module.


Fig 7 Instrument tray.


The low profile L-plates come as 90 versions with either two or three holes on each side and anatomical version with a bend in the bar. As mentioned earlier, they are reversible so they can be used on either side of the patient and have etched lines in 1 mm increments which allow for determining the achieved bone advancement. Additionally, in order to address the request for prebent (anatomical) plates for maxillary fixation, 0.8 mm plates with the third leg offset between 2 mm and 10 mm are included in the system.

 

Fig 8 L-plate.


The system also contains a variety of plate designs specifically made for mandibular sagittal split procedures: Straight and curved plates from 6 mm to 12 mm bar lengths with etched 1 mm lines (1.0 mm plate thickness).

 

Fig 9 Reversible plate.


The SplitFix plate, which was already available in the current orthognathic set was adapted and included in the new matrix platform: This plate has a slider which allows the surgeon to intraoperatively adjust the occlusion during plate fixation. The use of monocortical screw fixation is recommended for this indication.

 

Fig 10 SplitFix.


Fig 11 (left) SplitFix application 1.

Fig 11 (right) SplitFix application 2.

 


Finally prebent 0.7 mm genioplasty plates with 410 mm offsets are included in the set. These plates have an etched midline to allow for easy centering of the distal segment.

All plates in the system are made of commercially pure titanium.

 

Fig 12 Genioplasty plate.

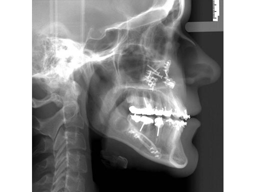
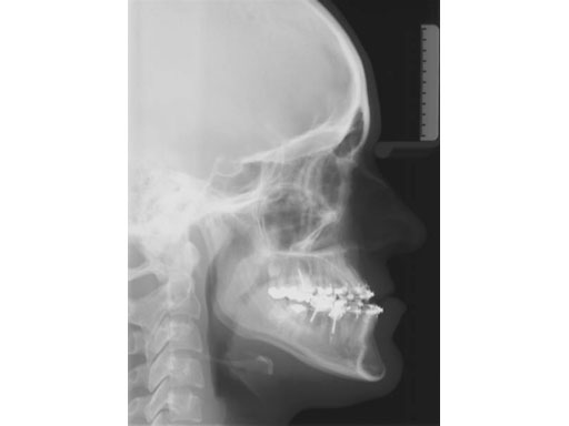
Lefort I maxillary osteotomy, bilateral sagittal osteotomies, and a genioplasty, all fixed with matrix orthognathic system used in a 19-year-old female with significant skeletofacial deformity including maxillary hypoplasia, mandibular excess, and laterognathia.

 

Fig 1a-c Preoperative images.
 


Fig 2a-c Postoperative images.
 

Case provided by Daniel Buchbinder, New York, USA

Hazards and labeling

Due to varying countries’ legal and regulatory approval requirements, consult the appropriate local product labeling for approved intended use of the products described on this website. All devices on this website are approved by the AO Technical Commission. For logistical reasons, these devices may not be available in all countries worldwide at the date of publication. 


Legal restrictions

This work was produced by AO Foundation, Switzerland. All rights reserved by AO Foundation. This publication, including all parts thereof, is legally protected by copyright.

Any use, exploitation or commercialization outside the narrow limits set forth by copyright legislation and the restrictions on use laid out below, without the publisher‘s consent, is illegal and liable to prosecution. This applies in particular to photostat reproduction, copying, scanning or duplication of any kind, translation, preparation of microfilms, electronic data processing, and storage such as making this publication available on Intranet or Internet.

Some of the products, names, instruments, treatments, logos, designs, etc referred to in this publication are also protected by patents, trademarks or by other intellectual property protection laws (eg, “AO” and the AO logo are subject to trademark applications/registrations) even though specific reference to this fact is not always made in the text. Therefore, the appearance of a name, instrument, etc without designation as proprietary is not to be construed as a representation by the publisher that it is in the public domain.

Restrictions on use: The rightful owner of an authorized copy of this work may use it for educational and research purposes only. Single images or illustrations may be copied for research or educational purposes only. The images or illustrations may not be altered in any way and need to carry the following statement of origin “Copyright by AO Foundation, Switzerland”.

Check www.aofoundation.org/disclaimer for more information.

 

If you have any comments or questions on the articles or the new devices, please do not hesitate to contact us


“approved by AO Technical Commission” and “approved by AO”
The brands and labels “approved by AO Technical Commission” and “approved by AO”, particularly "AO" and the AO logo, are AO Foundation's intellectual property and subject to trademark applications and registrations, respectively. The use of these brands and labels is regulated by licensing agreements between AO Foundation and the producers of innovation products obliged to use such labels to declare the products as AO Technical Commission or AO Foundation approved solutions. Any unauthorized or inadequate use of these trademarks may be subject to legal action.

AO ITC Innovations Magazine

Find all issues of the AO ITC Innovations Magazine for download here.

Meet the Experts

Directly learn about AO Approved Solutions from the Experts themselves.

Innovation Awards

Recognizing outstanding achievements in development and fostering excellence in surgical innovation.