LCP Anterior Ankle Arthrodesis
The LCP anterior ankle arthrodesis is indicated for arthrodesis of the ankle joint and distal tibia via an anterior approach. It is especially useful if a previous extensile approach was made for ORIF, making subsequent adjacent incision ill advised.
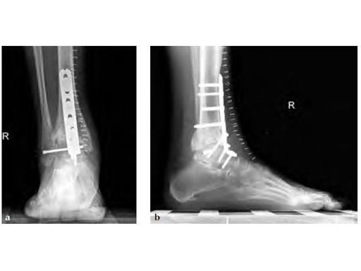
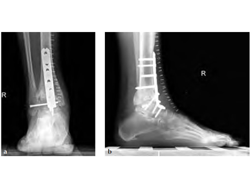
The plates are precontoured, have combination holes in the plate shaft and are available in 6-hole (100 mm) or 7-hole (116 mm) lengths. All holes accept 4.5 mm cortex, 4.5 mm shaft screws and 6.5 mm cancellous bone screws. The locking holes accept 4.0 mm solid, 5.0 mm solid or 5.0 mm cannulated locking screws. Two distal elongated DCU holes allow for greater screw angulation and better bone purchase. A proximal notch accepts the articulated tension device (to allow compression or distraction).
The plate is available in 316L implant quality stainless steel or commercially pure (CP4) titanium.
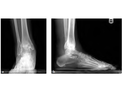
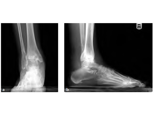
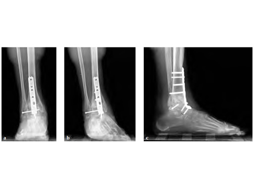
58-year-old male
Case provided by Andrew Sands, New York, USA
Previous plafond fracture and ORIF through large anterior incision. Increasing pain not relieved by nonoperative preoperative workup revealing deep bony infection. The interim procedure was deep biopsy, curettage and placement of antibiotic self-dissolving beads. Generation IV antibiotics were given. The reimaging showed infection had gone.
Anterior approach through the same anterior incision with placement of anterior plate. Orthogonal screw was added for stability through the fibula into the talar body. Preserving fibula makes it easier for future reconstruction should that be possible (ie, placement of implant in the face of previous infection currently not recommended).
Hazards and labeling
Due to varying countries’ legal and regulatory approval requirements, consult the appropriate local product labeling for approved intended use of the products described on this website. All devices on this website are approved by the AO Technical Commission. For logistical reasons, these devices may not be available in all countries worldwide at the date of publication.
Legal restrictions
This work was produced by AO Foundation, Switzerland. All rights reserved by AO Foundation. This publication, including all parts thereof, is legally protected by copyright.
Any use, exploitation or commercialization outside the narrow limits set forth by copyright legislation and the restrictions on use laid out below, without the publisher‘s consent, is illegal and liable to prosecution. This applies in particular to photostat reproduction, copying, scanning or duplication of any kind, translation, preparation of microfilms, electronic data processing, and storage such as making this publication available on Intranet or Internet.
Some of the products, names, instruments, treatments, logos, designs, etc referred to in this publication are also protected by patents, trademarks or by other intellectual property protection laws (eg, “AO” and the AO logo are subject to trademark applications/registrations) even though specific reference to this fact is not always made in the text. Therefore, the appearance of a name, instrument, etc without designation as proprietary is not to be construed as a representation by the publisher that it is in the public domain.
Restrictions on use: The rightful owner of an authorized copy of this work may use it for educational and research purposes only. Single images or illustrations may be copied for research or educational purposes only. The images or illustrations may not be altered in any way and need to carry the following statement of origin “Copyright by AO Foundation, Switzerland”.
Check www.aofoundation.org/disclaimer for more information.
If you have any comments or questions on the articles or the new devices, please do not hesitate to contact us.
“approved by AO Technical Commission” and “approved by AO”
The brands and labels “approved by AO Technical Commission” and “approved by AO”, particularly "AO" and the AO logo, are AO Foundation's intellectual property and subject to trademark applications and registrations, respectively. The use of these brands and labels is regulated by licensing agreements between AO Foundation and the producers of innovation products obliged to use such labels to declare the products as AO Technical Commission or AO Foundation approved solutions. Any unauthorized or inadequate use of these trademarks may be subject to legal action.
AO ITC Innovations Magazine
Find all issues of the AO ITC Innovations Magazine for download here.
Innovation Awards
Recognizing outstanding achievements in development and fostering excellence in surgical innovation.





