3.5 LCP Posteromedial Proximal Tibia Plate
The system consists of six anatomically precontoured plates (1, 2, 4, 6, 8, or 10 shaft holes) with a range of six lengths (72-186 mm). The low profile plate head limits soft-tissue irritation and features four locking holes; one slotted for ease of plate positioning. The 3.5 mm LCP holes in the shaft enable fixation of posteromedial fragments with locking or non-locking screws.
The plates are available in both titanium and stainless steel.
The set is compatible with the 3.5 mm small fragment system.
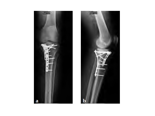
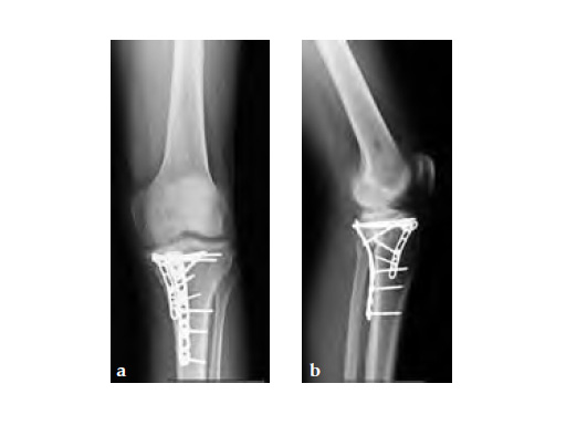
A 33-year-old male was involved in an altercation and suffered a gun shoot wound to his knee
Case provided by Brent Norris, Tulsa, USA.
Initially taken for incision and drainage and then ORIF . Patient placed in a floppy lateral position with the effected lower extremity externally rotated (opposite hip and shoulder bumped up about 3040) allowing exposure of the posterior medial knee. A posterior medial and an anteromedial incision were used to repair the fracture with a 67 cm skin bridge.
Postoperative healing was uneventful and the patient had no complications.
Hazards and labeling
Due to varying countries’ legal and regulatory approval requirements, consult the appropriate local product labeling for approved intended use of the products described on this website. All devices on this website are approved by the AO Technical Commission. For logistical reasons, these devices may not be available in all countries worldwide at the date of publication.
Legal restrictions
This work was produced by AO Foundation, Switzerland. All rights reserved by AO Foundation. This publication, including all parts thereof, is legally protected by copyright.
Any use, exploitation or commercialization outside the narrow limits set forth by copyright legislation and the restrictions on use laid out below, without the publisher‘s consent, is illegal and liable to prosecution. This applies in particular to photostat reproduction, copying, scanning or duplication of any kind, translation, preparation of microfilms, electronic data processing, and storage such as making this publication available on Intranet or Internet.
Some of the products, names, instruments, treatments, logos, designs, etc referred to in this publication are also protected by patents, trademarks or by other intellectual property protection laws (eg, “AO” and the AO logo are subject to trademark applications/registrations) even though specific reference to this fact is not always made in the text. Therefore, the appearance of a name, instrument, etc without designation as proprietary is not to be construed as a representation by the publisher that it is in the public domain.
Restrictions on use: The rightful owner of an authorized copy of this work may use it for educational and research purposes only. Single images or illustrations may be copied for research or educational purposes only. The images or illustrations may not be altered in any way and need to carry the following statement of origin “Copyright by AO Foundation, Switzerland”.
Check www.aofoundation.org/disclaimer for more information.
If you have any comments or questions on the articles or the new devices, please do not hesitate to contact us.
“approved by AO Technical Commission” and “approved by AO”
The brands and labels “approved by AO Technical Commission” and “approved by AO”, particularly "AO" and the AO logo, are AO Foundation's intellectual property and subject to trademark applications and registrations, respectively. The use of these brands and labels is regulated by licensing agreements between AO Foundation and the producers of innovation products obliged to use such labels to declare the products as AO Technical Commission or AO Foundation approved solutions. Any unauthorized or inadequate use of these trademarks may be subject to legal action.
AO ITC Innovations Magazine
Find all issues of the AO ITC Innovations Magazine for download here.
Innovation Awards
Recognizing outstanding achievements in development and fostering excellence in surgical innovation.





