2.4 mm VA-LCP Dorsal Distal Radius Plate
Dorsally displaced fragments which cannot be securely fixed through a volar approach need stabilization (often by simple buttressing) on the dorsal surface. The convex shape of the dorsal aspect of the radius causes the distal screws of fixed angle devices to point towards the center of the radius, so they cannot be directed parallel to the distal radioulnar joint for optimal support. Using a fixed angular locking dorsoulnar plate which has to be placed very distally can lead to screws entering the joint. This problem can be solved by tilting the screw in the variable angle locking-plate hole proximally. Variable angle technology allows up to 15 off-axis screw angulation which can provide better support of the distal radioulnar joint and/or more secure fixation of the radial styloid.
The 2.4 mm VA-LCP dorsal distal radius plate adds variable angle technology to the existing double plate concept of the 2.4 mm LCP dorsal distal radius plates. Additionally, new anatomically preshaped plates have been added to the set: one for the radial column in two different lengths, and one for the intermediate column, also in two different lengths and in left and right versions. All plates are highly polished and have rounded edges to minimize the risk of soft-tissue irritation and tendon ruptures.
The recommended operating room technique for a dorsal shearing fracture is to apply the dorsoulnar plate first, fixed only by a cortex screw in the oblong combination hole. After, the dorsoradial plate is applied in the same way. The locking screws are then inserted in the dorsoulnar plate, starting with the most proximal hole. Finally, locking screws are placed in the dorsoradial plate in the same order. The VA instrumentation allows repositioning of nonoptimally placed screws.
Laboratory cyclical-load testing to determine plate strength to failure confirmed that VA plates are as strong as (or stronger than) Pi-Plate with the anatomical prebend plates being stronger than the flat ones.
Besides the anatomically preshaped radial and intermediate column plates, there is a total of 14 different flat plates available including T-, L-, and oblique L-plates in different lengths. All plates are available in stainless steel and titanium (TiCp).
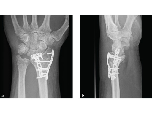
Case 1: A 62-year-old man fell on his outstretched left hand while playing tennis, sustaining an intraarticular fracture of the distal radius, Mller AO Classification 23-C3.2.
Case provided by Renato Fricker, Bruderholz, Switzerland
Case 2: A 44-year-old man sustained polytrauma following a car accident. Among his injuries was a distal radial fracture, Mller AO Classification 23-C1.
Case provided by Vitezslav Ruber, Brno, Czech Republic
Hazards and labeling
Due to varying countries’ legal and regulatory approval requirements, consult the appropriate local product labeling for approved intended use of the products described on this website. All devices on this website are approved by the AO Technical Commission. For logistical reasons, these devices may not be available in all countries worldwide at the date of publication.
Legal restrictions
This work was produced by AO Foundation, Switzerland. All rights reserved by AO Foundation. This publication, including all parts thereof, is legally protected by copyright.
Any use, exploitation or commercialization outside the narrow limits set forth by copyright legislation and the restrictions on use laid out below, without the publisher‘s consent, is illegal and liable to prosecution. This applies in particular to photostat reproduction, copying, scanning or duplication of any kind, translation, preparation of microfilms, electronic data processing, and storage such as making this publication available on Intranet or Internet.
Some of the products, names, instruments, treatments, logos, designs, etc referred to in this publication are also protected by patents, trademarks or by other intellectual property protection laws (eg, “AO” and the AO logo are subject to trademark applications/registrations) even though specific reference to this fact is not always made in the text. Therefore, the appearance of a name, instrument, etc without designation as proprietary is not to be construed as a representation by the publisher that it is in the public domain.
Restrictions on use: The rightful owner of an authorized copy of this work may use it for educational and research purposes only. Single images or illustrations may be copied for research or educational purposes only. The images or illustrations may not be altered in any way and need to carry the following statement of origin “Copyright by AO Foundation, Switzerland”.
Check www.aofoundation.org/disclaimer for more information.
If you have any comments or questions on the articles or the new devices, please do not hesitate to contact us.
“approved by AO Technical Commission” and “approved by AO”
The brands and labels “approved by AO Technical Commission” and “approved by AO”, particularly "AO" and the AO logo, are AO Foundation's intellectual property and subject to trademark applications and registrations, respectively. The use of these brands and labels is regulated by licensing agreements between AO Foundation and the producers of innovation products obliged to use such labels to declare the products as AO Technical Commission or AO Foundation approved solutions. Any unauthorized or inadequate use of these trademarks may be subject to legal action.
AO ITC Innovations Magazine
Find all issues of the AO ITC Innovations Magazine for download here.
Innovation Awards
Recognizing outstanding achievements in development and fostering excellence in surgical innovation.










