Tibia Plateau Leveling Osteotomy: Saw and Jig
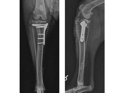
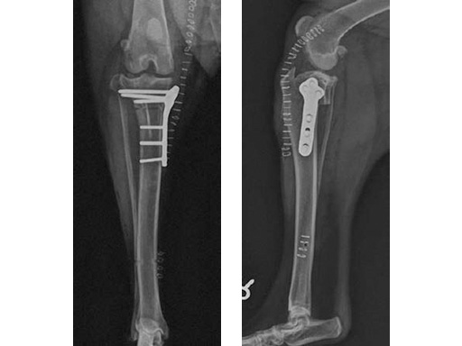
The tibia plateau leveling osteotomy (TPLO) procedure dynamically eliminates cranial tibial subluxation associated with cranial cruciate ligament (CCL) disease in the dog, and thereby stabilizes the knee joint during locomotion. CCL rupture in the dog is similar to ACL injury in humans.
The standard saw and jig are designed specifically for use when performing tibial plateau leveling osteotomy to assist with location, guidance, initiation, and stabilization of the radial saw cut in medium and large breed dogs.
The jig and saw guides can be used bilaterally (for right or left tibiae). Specially designed hinge and saw guide screws within the jig resist loosening under vibration. The hardened steel jig pin screws resist stripping. The saw guides can be positioned in multiple positions along the jig and the jig arm position can be adjusted to allow for optimal placement of the osteotomy. The saw guides are available in three radii of 24 mm, 27 mm, and 30 mm to match the saw blade size selected for an individual patient. The instruments can be easily disassembled for cleaning, and are made of medical grade stainless steel.
A smaller version of the jig and saw guides will be designed in the future for smaller breed dogs.
For description of the TPLO system please see TK News 1 | 08, page 37.
Hazards and labeling
Due to varying countries’ legal and regulatory approval requirements, consult the appropriate local product labeling for approved intended use of the products described on this website. All devices on this website are approved by the AO Technical Commission. For logistical reasons, these devices may not be available in all countries worldwide at the date of publication.
Legal restrictions
This work was produced by AO Foundation, Switzerland. All rights reserved by AO Foundation. This publication, including all parts thereof, is legally protected by copyright.
Any use, exploitation or commercialization outside the narrow limits set forth by copyright legislation and the restrictions on use laid out below, without the publisher‘s consent, is illegal and liable to prosecution. This applies in particular to photostat reproduction, copying, scanning or duplication of any kind, translation, preparation of microfilms, electronic data processing, and storage such as making this publication available on Intranet or Internet.
Some of the products, names, instruments, treatments, logos, designs, etc referred to in this publication are also protected by patents, trademarks or by other intellectual property protection laws (eg, “AO” and the AO logo are subject to trademark applications/registrations) even though specific reference to this fact is not always made in the text. Therefore, the appearance of a name, instrument, etc without designation as proprietary is not to be construed as a representation by the publisher that it is in the public domain.
Restrictions on use: The rightful owner of an authorized copy of this work may use it for educational and research purposes only. Single images or illustrations may be copied for research or educational purposes only. The images or illustrations may not be altered in any way and need to carry the following statement of origin “Copyright by AO Foundation, Switzerland”.
Check www.aofoundation.org/disclaimer for more information.
If you have any comments or questions on the articles or the new devices, please do not hesitate to contact us.
“approved by AO Technical Commission” and “approved by AO”
The brands and labels “approved by AO Technical Commission” and “approved by AO”, particularly "AO" and the AO logo, are AO Foundation's intellectual property and subject to trademark applications and registrations, respectively. The use of these brands and labels is regulated by licensing agreements between AO Foundation and the producers of innovation products obliged to use such labels to declare the products as AO Technical Commission or AO Foundation approved solutions. Any unauthorized or inadequate use of these trademarks may be subject to legal action.
AO ITC Innovations Magazine
Find all issues of the AO ITC Innovations Magazine for download here.
Innovation Awards
Recognizing outstanding achievements in development and fostering excellence in surgical innovation.



