LCP Superior Anterior Clavicle 3.5

The precontoured LCP anterior superior clavicle plate system 3.5 represents another important group of anatomically preshaped plates for the clavicular bone. It is indicated not only for the fixation of fractures, but also for malunions and nonunions of the clavicle.

Anatomical precontouring implies the need for a left and right version. Additionally, the plate system provides different lengths. These various plate lengths accommodate a variety of different fracture patterns, especially fractures with a lateral extension or fractures of the lateral clavicular third with or without ligamentous involvement.

Plates with a lateral extension come in sizes of 38 holes, plates without lateral extension in sizes of 68 holes. The complete plate system is available both in stainless steel or titanium.

Notches in the plate aid additional contouring. New bending pliers provide further aid in adapting the plate to the bone. Diverging and crosshatching screw patterns in the lateral end help in creating a stronger construct. The plates use 3.5 mm locking screws in the shaft and feature 2.7 mm locking screws in the lateral extension also allowing for an increased number of screw positions in the lateral extension.

Static and dynamic mechanical tests proved two times the yield strength of the new anterior superior clavicle plate compared to the LCP reconstruction plate 3.5, both under a dynamic compression load as well as under torsional load.

Surgery is very straight forward as in most cases, no or only minor additional contouring of the plate is required, thus minimizing surgery time. The plate has already proven itself in the field and has become our favorite implant for clavicular surgery requiring a plate.

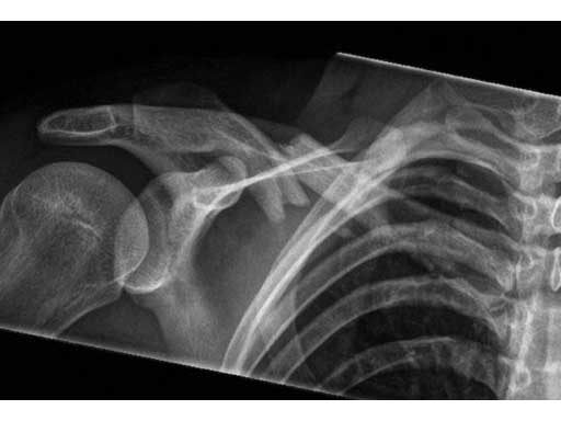
A 21-year old male fell on the right shoulder when playing soccer. He sustained a cavicular shaft fracture type 06 A3 (OTA classification) with dislocation of shaft width and shortening of around 2 cm.

 

Fig 1ab Preoperative x-rays.


Fig 1ab Preoperative x-rays.


Fig 2 Open reduction. Osteosynthesis using MIO technique.


Fig 3ab Immediate postoperative x-rays.


Fig 4ab X-rays 9 months postoperatively.


Fig 5ad Painfree, unrestricted motion 9 months postoperatively.


Fig 5ad Painfree, unrestricted motion 9 months postoperatively.


Fig 5ad Painfree, unrestricted motion 9 months postoperatively.

 

Case provided by Norbert P Sdkamp, Freiburg, DE

Hazards and labeling

Due to varying countries’ legal and regulatory approval requirements, consult the appropriate local product labeling for approved intended use of the products described on this website. All devices on this website are approved by the AO Technical Commission. For logistical reasons, these devices may not be available in all countries worldwide at the date of publication. 


Legal restrictions

This work was produced by AO Foundation, Switzerland. All rights reserved by AO Foundation. This publication, including all parts thereof, is legally protected by copyright.

Any use, exploitation or commercialization outside the narrow limits set forth by copyright legislation and the restrictions on use laid out below, without the publisher‘s consent, is illegal and liable to prosecution. This applies in particular to photostat reproduction, copying, scanning or duplication of any kind, translation, preparation of microfilms, electronic data processing, and storage such as making this publication available on Intranet or Internet.

Some of the products, names, instruments, treatments, logos, designs, etc referred to in this publication are also protected by patents, trademarks or by other intellectual property protection laws (eg, “AO” and the AO logo are subject to trademark applications/registrations) even though specific reference to this fact is not always made in the text. Therefore, the appearance of a name, instrument, etc without designation as proprietary is not to be construed as a representation by the publisher that it is in the public domain.

Restrictions on use: The rightful owner of an authorized copy of this work may use it for educational and research purposes only. Single images or illustrations may be copied for research or educational purposes only. The images or illustrations may not be altered in any way and need to carry the following statement of origin “Copyright by AO Foundation, Switzerland”.

Check www.aofoundation.org/disclaimer for more information.

 

If you have any comments or questions on the articles or the new devices, please do not hesitate to contact us


“approved by AO Technical Commission” and “approved by AO”
The brands and labels “approved by AO Technical Commission” and “approved by AO”, particularly "AO" and the AO logo, are AO Foundation's intellectual property and subject to trademark applications and registrations, respectively. The use of these brands and labels is regulated by licensing agreements between AO Foundation and the producers of innovation products obliged to use such labels to declare the products as AO Technical Commission or AO Foundation approved solutions. Any unauthorized or inadequate use of these trademarks may be subject to legal action.

AO ITC Innovations Magazine

Find all issues of the AO ITC Innovations Magazine for download here.

Meet the Experts

Directly learn about AO Approved Solutions from the Experts themselves.

Innovation Awards

Recognizing outstanding achievements in development and fostering excellence in surgical innovation.