Olecranon Plate

Treatment of olecranon fractures often requires complex and time consuming operations with the risk that an insufficient fixation leads to secondary loss of reduction, especially in osteoporotic fractures. This would be inevitable followed by functional deficits, pain and arthrosis.

The Olecranon Plate is part of the new elbow system, it has a precontoured anatomical fit and provides a high stability. Indications for this new plate are complex extra- and intraarticular olecranon fractures, especially with distal extension beyond the coronoid process, fractures of the proximal ulna, nonunions of the proximal ulna, and osteotomies.

The proximal part of the plate is slightly thinner than the shaft. Eight round locking holes allow for a choice of locking head screw placement. These screws have predetermined angulations that were adapted to the anatomy of the olecranon and the proximal ulna. The proximal tab can be removed with standard cutting instruments if not needed. The shaft portion of the plate has a long sliding hole to enable optimal positioning of the plate. The plate holes in the shaft portion are typically combination holes, allowing the application of both conventional and locking head screws. Since the bend of the proximal ulna can vary significantly, the longer plates especially require contouring of the plate in the horizontal plane. Recesses in the shaft (as in reconstruction plates) allow for this adaptation in the horizontal plane (maximal 4 per individual recess of the plate).

The Olecranon Plate is available in a right and left version. It comes in six lengths with 2-, 4-, 6-, 8-, 10-, or 12-LCP combination holes in the shaft for 3.5 mm locking head screws. Alternately, 3.5 mm cortex screws or 4.0 mm cancellous bone screws can be used. The plate is available in stainless steel and titanium.

Specific aiming devices can be fixed to the plate by a snap-on mechanism. The other instrumentation is fully compatible with the LCP system 3.5.

Olecranon Plate

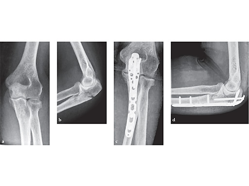
65-year-old female treated with an Olecranon plate.

ab Preoperative x-rays.

cd Postoperative x-rays.

Hazards and labeling

Due to varying countries’ legal and regulatory approval requirements, consult the appropriate local product labeling for approved intended use of the products described on this website. All devices on this website are approved by the AO Technical Commission. For logistical reasons, these devices may not be available in all countries worldwide at the date of publication. 


Legal restrictions

This work was produced by AO Foundation, Switzerland. All rights reserved by AO Foundation. This publication, including all parts thereof, is legally protected by copyright.

Any use, exploitation or commercialization outside the narrow limits set forth by copyright legislation and the restrictions on use laid out below, without the publisher‘s consent, is illegal and liable to prosecution. This applies in particular to photostat reproduction, copying, scanning or duplication of any kind, translation, preparation of microfilms, electronic data processing, and storage such as making this publication available on Intranet or Internet.

Some of the products, names, instruments, treatments, logos, designs, etc referred to in this publication are also protected by patents, trademarks or by other intellectual property protection laws (eg, “AO” and the AO logo are subject to trademark applications/registrations) even though specific reference to this fact is not always made in the text. Therefore, the appearance of a name, instrument, etc without designation as proprietary is not to be construed as a representation by the publisher that it is in the public domain.

Restrictions on use: The rightful owner of an authorized copy of this work may use it for educational and research purposes only. Single images or illustrations may be copied for research or educational purposes only. The images or illustrations may not be altered in any way and need to carry the following statement of origin “Copyright by AO Foundation, Switzerland”.

Check www.aofoundation.org/disclaimer for more information.

 

If you have any comments or questions on the articles or the new devices, please do not hesitate to contact us


“approved by AO Technical Commission” and “approved by AO”
The brands and labels “approved by AO Technical Commission” and “approved by AO”, particularly "AO" and the AO logo, are AO Foundation's intellectual property and subject to trademark applications and registrations, respectively. The use of these brands and labels is regulated by licensing agreements between AO Foundation and the producers of innovation products obliged to use such labels to declare the products as AO Technical Commission or AO Foundation approved solutions. Any unauthorized or inadequate use of these trademarks may be subject to legal action.

AO ITC Innovations Magazine

Find all issues of the AO ITC Innovations Magazine for download here.

Meet the Experts

Directly learn about AO Approved Solutions from the Experts themselves.

Innovation Awards

Recognizing outstanding achievements in development and fostering excellence in surgical innovation.