TPLO 3.5 mm Small Stature
Cranial cruciate ligament (CrCL) injury is the most common cause of hind-limb lameness in the dog. This injury is frequently treated with the tibial plateau leveling osteotomy (TPLO). The TPLO procedure dynamically stabilizes the knee by eliminating cranial tibial subluxation during the weight-bearing phase of locomotion. The slope of the dogs tibial plateau is much greater than its human counterpart, which results in increased loads on the canine CrCL. Unlike ACL injury in humans, many canine CrCL tears start as a partial tear and progress to a complete tear due to degenerative changes occurring in the ligament.
The TPLO system is indicated for osteotomies of the canine proximal tibia and combines plates with a basic instrumentation set. The plates are precontoured to match the anatomic configuration of the medial aspect of the proximal tibia with a limited-contact design and optimal screw placement in the proximal region of the tibia. The plates are available in left and right configurations and feature locking-screw technology.
Until recently, the plates were available in three different profiles: 2.7, 3.5, and 3.5 mm broad. Now, a 3.5 mm plate for small stature was added to the system for use in heavy, but small-boned dogs (ie, bull terriers, bulldogs). The plates and screws are available in stainless steel. The TPLO plates can accommodate locking or cortical screws that correspond to the size of the plate used.
The TPLO 3.5 mm small stature is placed on the medial surface of the tibia. The plate fits very proximally and just distal to the articular surface. In addition, the neck of the plate sits directly over the osteotomy cut. The screw size and pattern provides sufficient strength in the candidate canines tibia. The locking holes are appropriately angled so that the screws will not impinge into the joint or the osteotomy when the plate is applied with proper technique. The head of the plate is also designed to accommodate the placement of a positioning jig.
TPLO is used to treat complete and partial CrCL tears. Early treatment of partial CrCL tears by TPLO has been shown to protect the remaining fibers of the CrCL and reduce the chance of future osteoarthritis and meniscal injury. The osteotomy typically is healed within 8 weeks and return to function can begin progressively after evidence of x-ray healing. The long-term prognosis is excellent.
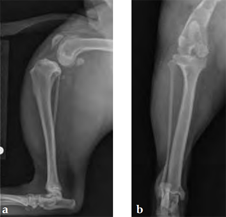
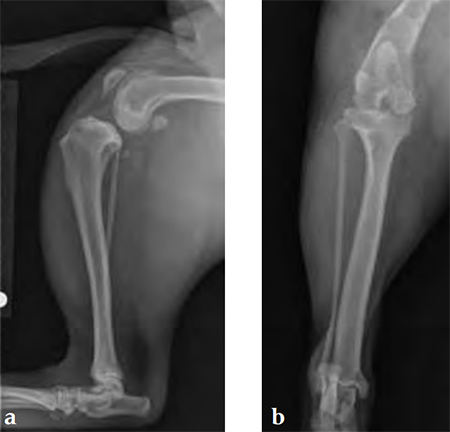
Case 1: English bulldog
(Case provided by Brian Beale, Houston, USA)
A 4-year-old, female, spayed, 33 kg English bulldog had a CrCL tear and a medial patellar luxation. The small stature 3.5 mm TPLO plate was perfect for this dog due to the small profile of the bone and the need to use a heavier plate (3.5 vs a 2.7 mm). In the past, veterinary surgeons have been forced to either squeeze the standard TPLO 3.5 mm plate on the bone or use an undersized TPLO 2.7 mm plate. In this patient, the shorter and smaller profile head of the small stature TPLO 3.5 mm was perfect.
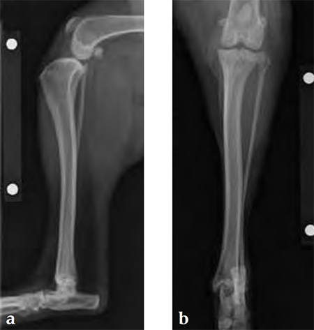
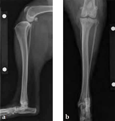
Case 2: Australian cattle dog
(Case provided by Brian Beale, Houston, USA)
An 8-year-old, female, spayed, 24 kg Australian cattle dog. This breed has short stocky legs and is very energetic and strong. The added strength of the 3.5 mm plate over the TPLO 2.7 mm plate was an advantage. The smaller head profile and shorter length of the TPLO 3.5 mm small stature plate allowed it to fit nicely on this patient.
Hazards and labeling
Due to varying countries’ legal and regulatory approval requirements, consult the appropriate local product labeling for approved intended use of the products described on this website. All devices on this website are approved by the AO Technical Commission. For logistical reasons, these devices may not be available in all countries worldwide at the date of publication.
Legal restrictions
This work was produced by AO Foundation, Switzerland. All rights reserved by AO Foundation. This publication, including all parts thereof, is legally protected by copyright.
Any use, exploitation or commercialization outside the narrow limits set forth by copyright legislation and the restrictions on use laid out below, without the publisher‘s consent, is illegal and liable to prosecution. This applies in particular to photostat reproduction, copying, scanning or duplication of any kind, translation, preparation of microfilms, electronic data processing, and storage such as making this publication available on Intranet or Internet.
Some of the products, names, instruments, treatments, logos, designs, etc referred to in this publication are also protected by patents, trademarks or by other intellectual property protection laws (eg, “AO” and the AO logo are subject to trademark applications/registrations) even though specific reference to this fact is not always made in the text. Therefore, the appearance of a name, instrument, etc without designation as proprietary is not to be construed as a representation by the publisher that it is in the public domain.
Restrictions on use: The rightful owner of an authorized copy of this work may use it for educational and research purposes only. Single images or illustrations may be copied for research or educational purposes only. The images or illustrations may not be altered in any way and need to carry the following statement of origin “Copyright by AO Foundation, Switzerland”.
Check www.aofoundation.org/disclaimer for more information.
If you have any comments or questions on the articles or the new devices, please do not hesitate to contact us.
“approved by AO Technical Commission” and “approved by AO”
The brands and labels “approved by AO Technical Commission” and “approved by AO”, particularly "AO" and the AO logo, are AO Foundation's intellectual property and subject to trademark applications and registrations, respectively. The use of these brands and labels is regulated by licensing agreements between AO Foundation and the producers of innovation products obliged to use such labels to declare the products as AO Technical Commission or AO Foundation approved solutions. Any unauthorized or inadequate use of these trademarks may be subject to legal action.
AO ITC Innovations Magazine
Find all issues of the AO ITC Innovations Magazine for download here.
Innovation Awards
Recognizing outstanding achievements in development and fostering excellence in surgical innovation.




