Piezoelectric System
Piezoelectric bone resection has been developed in order to overcome the limits in traditional bone-cutting instruments, as it addresses the clinical need for:
- Precision and safety
- Better visualization of surgical field
- More adequate interface between surgeon and bony tissues (brushtype cutting motion)
- Advantageous bone healing compared to other powered cutting tools
The new piezoelectric bone surgery system is an ultrasonic surgical system consisting of hand pieces and associated tips for cutting bone and bone substitutes. The system can be used for osteotomy, osteoplasty, decortication, drilling, shaping, and smoothing of bones and teeth, in a variety of surgical procedures, including general orthopaedic, otolaryngological, maxillofacial, oral, hand, foot, neurosurgical, spine, and plastic/reconstructive surgery.
It utilizes a selected frequency range between 2836 kHz and is active on mineralized tissue only, such as teeth and bone, in a very precise way, while limiting the risk of soft-tissue lesions. Soft tissues, such as nerves, blood vessels, dura, or the Schneiderian membrane are not altered by the cutting tip because of their ability to oscillate at the same speed and amplitude as the cutting tip. At the same time, narrow kerf and smooth cuts in the presence of irrigation result in less risk of necrosis. One major advantage of this instrument is the different shaped tips to be used, allowing the cutting vector to be either straight, angled, or curved, ie, directed backwards.
The built-in irrigation and cavitation effect provides optimal visibility of the operative site, removes bone debris, and avoids increase in temperature liable to cause tissue degradation.
The piezoelectric system is used with a vibration-free hand piece which only requires minimum pressure, resulting in greater precision and less hand fatigue for the surgeon. It is illuminated with LEDs for enhanced onsite visibility. The system is steered via a touch-sensitive LCD screen on the console. In addition, all functions can also be activated with the foot pedal.
The system comes with a range of burr and saw tips which can be employed on almost all types of bone.
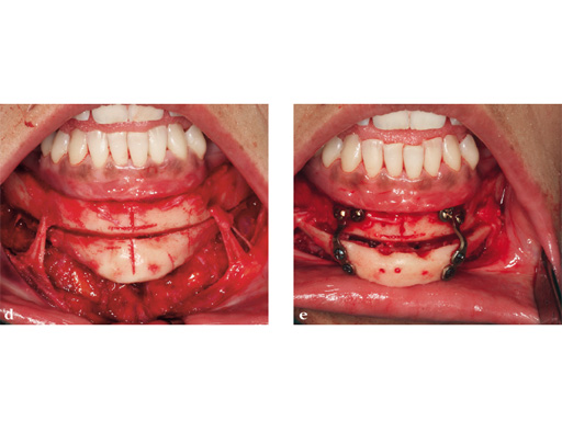
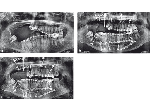
Case 1: A patient after multiple failed chin implants. Here piezosurgery proved to be superior to other oscillating instruments due to the controlled brush-type cutting motion, closeness to vulnerable structures which could be easily preserved, like the mental nerve on both sides, and protection of floor of the mouth vessels after completing the lingual corticotomy.
Case provided by Nils-Claudius Gellrich, Hannover, Germany
Case 2: Complex congenital deformity with distortion of alveolar processes and dentition, resulting in a 3.5 cm nonocclusion in the right maxillomandibular complex. Occlusion is exclusively controlled through the left second premolar to second molar. Piezosurgery was useful in this case due to complex anatomical deformities resulting in atypical positioning of the inferior alveolar canal on the right side. The cramped confines of dental and bony tissues in the deformed anatomy required an adequate type of osteotomy to do a significant yet controlled skeletal movement to overcome the vertical discrepancy intraorally, without changing the outer projection of the mandibular frame.
Case provided by Nils-Claudius Gellrich, Hannover, Germany
Piezosurgery: Piezoelectric System
Optimizing Surgical Cranial Access
Hazards and labeling
Due to varying countries’ legal and regulatory approval requirements, consult the appropriate local product labeling for approved intended use of the products described on this website. All devices on this website are approved by the AO Technical Commission. For logistical reasons, these devices may not be available in all countries worldwide at the date of publication.
Legal restrictions
This work was produced by AO Foundation, Switzerland. All rights reserved by AO Foundation. This publication, including all parts thereof, is legally protected by copyright.
Any use, exploitation or commercialization outside the narrow limits set forth by copyright legislation and the restrictions on use laid out below, without the publisher‘s consent, is illegal and liable to prosecution. This applies in particular to photostat reproduction, copying, scanning or duplication of any kind, translation, preparation of microfilms, electronic data processing, and storage such as making this publication available on Intranet or Internet.
Some of the products, names, instruments, treatments, logos, designs, etc referred to in this publication are also protected by patents, trademarks or by other intellectual property protection laws (eg, “AO” and the AO logo are subject to trademark applications/registrations) even though specific reference to this fact is not always made in the text. Therefore, the appearance of a name, instrument, etc without designation as proprietary is not to be construed as a representation by the publisher that it is in the public domain.
Restrictions on use: The rightful owner of an authorized copy of this work may use it for educational and research purposes only. Single images or illustrations may be copied for research or educational purposes only. The images or illustrations may not be altered in any way and need to carry the following statement of origin “Copyright by AO Foundation, Switzerland”.
Check www.aofoundation.org/disclaimer for more information.
If you have any comments or questions on the articles or the new devices, please do not hesitate to contact us.
“approved by AO Technical Commission” and “approved by AO”
The brands and labels “approved by AO Technical Commission” and “approved by AO”, particularly "AO" and the AO logo, are AO Foundation's intellectual property and subject to trademark applications and registrations, respectively. The use of these brands and labels is regulated by licensing agreements between AO Foundation and the producers of innovation products obliged to use such labels to declare the products as AO Technical Commission or AO Foundation approved solutions. Any unauthorized or inadequate use of these trademarks may be subject to legal action.
AO ITC Innovations Magazine
Find all issues of the AO ITC Innovations Magazine for download here.
Innovation Awards
Recognizing outstanding achievements in development and fostering excellence in surgical innovation.









