LCP PHP 140 in 3.5 and 5.0 mm
140° Pediatric Hip Plate has multiple indications not least the correction of congenital coxavara
The LCP PHP 140° is intended for use in pediatric patients until adolescence and for small-stature adults with appropriate age, size and bone quality.
The 140° plates offer improved placement of the femoral head in its correct anatomical position when compared with the 150° plates. The new 140° PHP (straight valgus) has a sophisticated design for lateralization of the distal part of the femur. Similarly acquired varus and valgization for femoral head deformity require lateralization of the shaft.
Plate indications include Perthes' disease, idiopathic coxavara, deformity of slipped capital femoral epiphysis and proximal femoral focal deficiency and congenital/post-traumatic pseudarthrosis of the femoral neck.
The plate is available in 3.5 mm (19 mm wide and 70 mm long) and in 5.0 mm (23 mm wide and 90 mm long). Both plates have two neck screws and one calcar screw proximally as well as combination holes for locking or cortex screws distally. All plates are available in sterile and non-sterile and have a universal design for left and right proximal femurs.
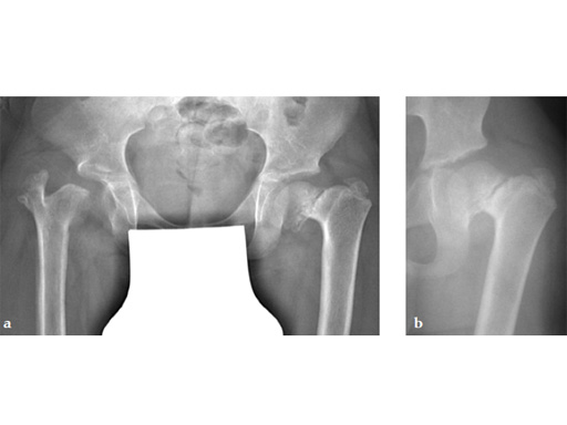
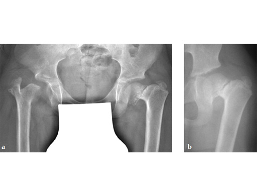
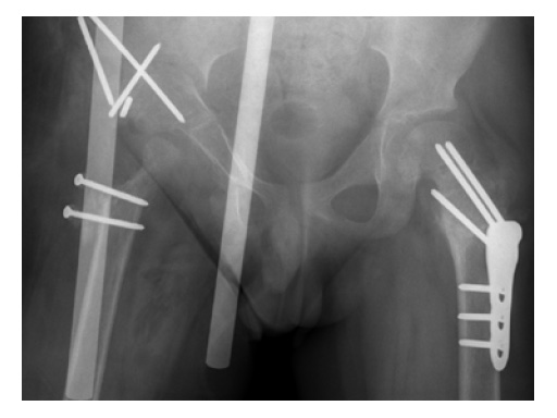
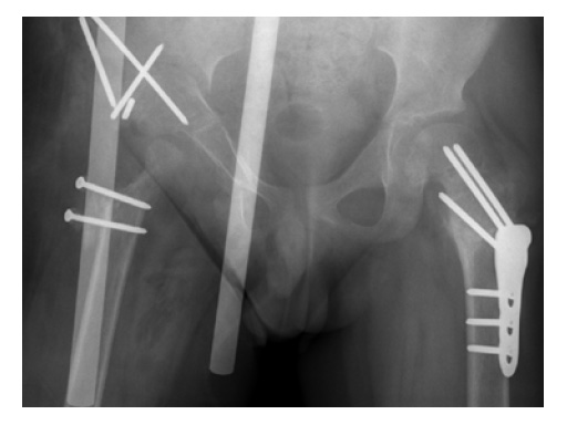
Case 2: LCP PHP 140. A 9-year-old boy, weighing 30 kg, had postinfectious pseudarthrosis of the femoral neck and varus deformity. His preoperative CC D angle was 80.
Case provided by Theddy Slongo, Bern, Switzerland
Hazards and labeling
Due to varying countries’ legal and regulatory approval requirements, consult the appropriate local product labeling for approved intended use of the products described on this website. All devices on this website are approved by the AO Technical Commission. For logistical reasons, these devices may not be available in all countries worldwide at the date of publication.
Legal restrictions
This work was produced by AO Foundation, Switzerland. All rights reserved by AO Foundation. This publication, including all parts thereof, is legally protected by copyright.
Any use, exploitation or commercialization outside the narrow limits set forth by copyright legislation and the restrictions on use laid out below, without the publisher‘s consent, is illegal and liable to prosecution. This applies in particular to photostat reproduction, copying, scanning or duplication of any kind, translation, preparation of microfilms, electronic data processing, and storage such as making this publication available on Intranet or Internet.
Some of the products, names, instruments, treatments, logos, designs, etc referred to in this publication are also protected by patents, trademarks or by other intellectual property protection laws (eg, “AO” and the AO logo are subject to trademark applications/registrations) even though specific reference to this fact is not always made in the text. Therefore, the appearance of a name, instrument, etc without designation as proprietary is not to be construed as a representation by the publisher that it is in the public domain.
Restrictions on use: The rightful owner of an authorized copy of this work may use it for educational and research purposes only. Single images or illustrations may be copied for research or educational purposes only. The images or illustrations may not be altered in any way and need to carry the following statement of origin “Copyright by AO Foundation, Switzerland”.
Check www.aofoundation.org/disclaimer for more information.
If you have any comments or questions on the articles or the new devices, please do not hesitate to contact us.
“approved by AO Technical Commission” and “approved by AO”
The brands and labels “approved by AO Technical Commission” and “approved by AO”, particularly "AO" and the AO logo, are AO Foundation's intellectual property and subject to trademark applications and registrations, respectively. The use of these brands and labels is regulated by licensing agreements between AO Foundation and the producers of innovation products obliged to use such labels to declare the products as AO Technical Commission or AO Foundation approved solutions. Any unauthorized or inadequate use of these trademarks may be subject to legal action.
AO ITC Innovations Magazine
Find all issues of the AO ITC Innovations Magazine for download here.
Innovation Awards
Recognizing outstanding achievements in development and fostering excellence in surgical innovation.




