End Caps, Small, for TEN and STEN
Elastic stable intramedullary nailing (ESIN) has become the method of choice for internal fixation of femoral and tibial shaft fractures in children of 4-14 years of age. In the lower extremity, ESIN treatment may be complicated by loss of reduction following push-out of the nails at the entry site, especially in unstable femoral shaft fractures. The rate of this complication nail migration with subsequent soft-tissue and skin irritation was reported to be as high as 5-12% until end caps (which lock the nails at the entry point) became available. The use of end caps avoids postoperative instability, even in heavier, older patients with unstable fracture types. To maximize stability of ESIN-instrumented unstable fractures, end caps require properly placed nails that are correctly bent. It is essential to cut the nails to a correct length at the entry site to ensure adequate anchoring of the nails in the caps and anchoring of the cap in the cortical bone respectively. The end caps are equipped with a self-cutting device and are put over the cut ends of the nails like a hollow screw that is fixed in the cortical bone at the nail entry site. A special bevelled impactor is mandatory for the final nail positioning. The position of the nail inside the end cap can easily be visualized since the caps are semi-radiolucent. The end caps also protect the soft tissues from the cut nail ends, and improve retrieval because the cap facilitates nail placement and creates a space around the nail ends for the extraction pliers. Only one small, extra instrument, the driver for the caps, is required.
Following the positive experiences with the end caps, there is also a need for small end caps. On the one hand there has been a request for a safer and more comfortable stabilization of clavicle fractures, on the other hand there has been a request for a safer stabilization of problematic forearm fractures in older children.
Biomechanical studies performed by the AO Foundation show that end caps increase the push-out force six times over that of conventionally inserted nails. A clinical study run by the Department of Pediatric Surgery in Bern demonstrated the clinical efficacy.
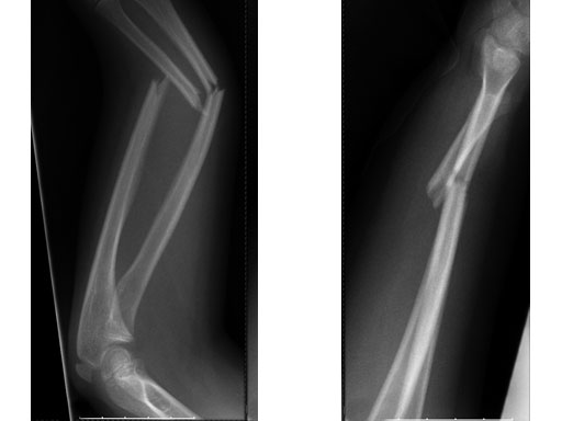
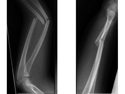
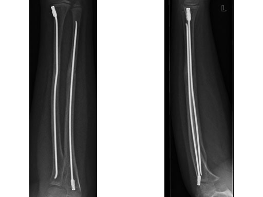
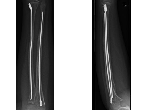
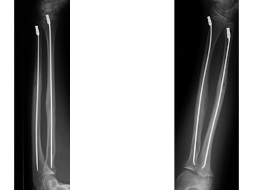
Case 1: Transverse forearm, shaft fracture (22D/4.1), 9-year-old girl.
Case provided by Theddy Slongo, Bern, Switzerland
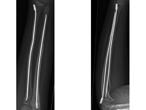
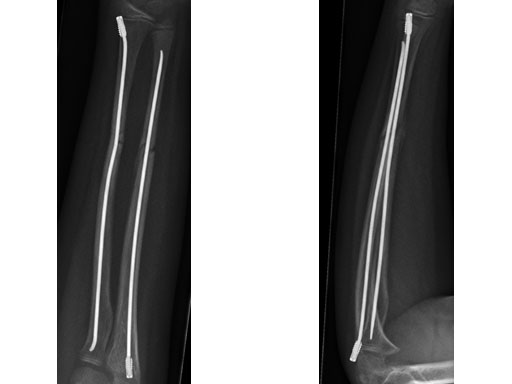
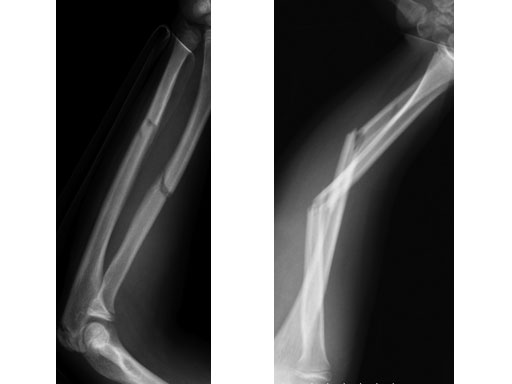
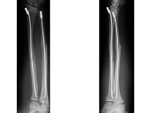
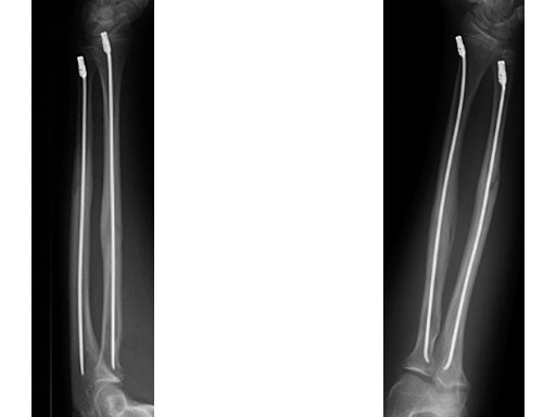
Case 2: Oblique forearm, shaft fracture (22D/5.1) with end caps, 11-year-old boy.
Case provided by Theddy Slongo, Bern, Switzerland
Elastic Nailing for Childrens Fractures: How to Avoid Complications
Hazards and labeling
Due to varying countries’ legal and regulatory approval requirements, consult the appropriate local product labeling for approved intended use of the products described on this website. All devices on this website are approved by the AO Technical Commission. For logistical reasons, these devices may not be available in all countries worldwide at the date of publication.
Legal restrictions
This work was produced by AO Foundation, Switzerland. All rights reserved by AO Foundation. This publication, including all parts thereof, is legally protected by copyright.
Any use, exploitation or commercialization outside the narrow limits set forth by copyright legislation and the restrictions on use laid out below, without the publisher‘s consent, is illegal and liable to prosecution. This applies in particular to photostat reproduction, copying, scanning or duplication of any kind, translation, preparation of microfilms, electronic data processing, and storage such as making this publication available on Intranet or Internet.
Some of the products, names, instruments, treatments, logos, designs, etc referred to in this publication are also protected by patents, trademarks or by other intellectual property protection laws (eg, “AO” and the AO logo are subject to trademark applications/registrations) even though specific reference to this fact is not always made in the text. Therefore, the appearance of a name, instrument, etc without designation as proprietary is not to be construed as a representation by the publisher that it is in the public domain.
Restrictions on use: The rightful owner of an authorized copy of this work may use it for educational and research purposes only. Single images or illustrations may be copied for research or educational purposes only. The images or illustrations may not be altered in any way and need to carry the following statement of origin “Copyright by AO Foundation, Switzerland”.
Check www.aofoundation.org/disclaimer for more information.
If you have any comments or questions on the articles or the new devices, please do not hesitate to contact us.
“approved by AO Technical Commission” and “approved by AO”
The brands and labels “approved by AO Technical Commission” and “approved by AO”, particularly "AO" and the AO logo, are AO Foundation's intellectual property and subject to trademark applications and registrations, respectively. The use of these brands and labels is regulated by licensing agreements between AO Foundation and the producers of innovation products obliged to use such labels to declare the products as AO Technical Commission or AO Foundation approved solutions. Any unauthorized or inadequate use of these trademarks may be subject to legal action.
AO ITC Innovations Magazine
Find all issues of the AO ITC Innovations Magazine for download here.
Innovation Awards
Recognizing outstanding achievements in development and fostering excellence in surgical innovation.





