90° 3.5 and 5.0 mm LCP Pediatric Condylar Plate
The condylar plate (Fig 1) is intended for use in pediatric patients up to adolescence and for small-stature adult patients corresponding to age, size, and bone quality. Specific indications include:
- Fixed flexion contracture of knee in neurological conditions
- Deformity correction in the distal femur regardless of etiology
- Rotational malalignment of the femur (if distal correction is preferred)
- Supracondylar fractures of the femur
The 90° LCP pediatric condylar plate is available in 3.5 and 5.0 mm with 3, 5 and 7 shaft holes available in each. There is one symmetrical plate for right and left corrections and all plates are available packed non-sterile and sterile. The plate is from the same family of plates as the LCP pediatric hip plates and is inserted using the same instrumentation.
The condylar plate is contoured so that distal screws will be at 90° to the midline of the shaft if the plate is fitted on the surface of the bone (Fig 2). Generally, the distal screws should be parallel to the growth plate in the coronal plane, although the surgeon must take care to ensure that there is no deformity of the distal fragment which would negate this assumption.
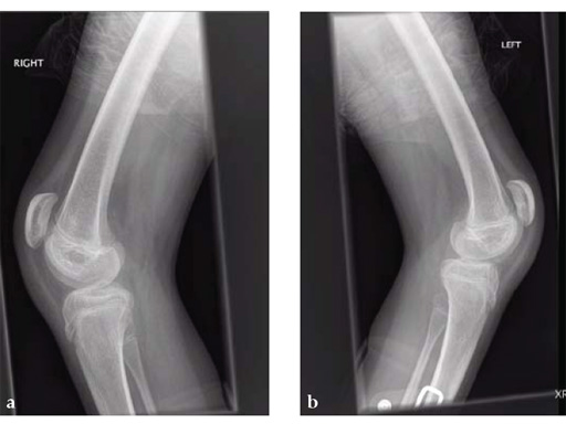
A 12-year-old girl presented for the first time to the cerebral palsy clinic. Although weak as well as spastic she was able to stand and step and wished to walk better. Physical examination revealed fixed flexion deformity of both knees. Distal femoral osteotomy with some shortening was the preferred option as hamstring lengthening and posterior knee capsule release would have caused further weakening.
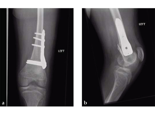
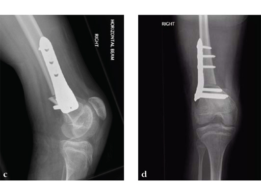
Osteotomies were stabilized with the 5.0 mm LCP pediatric condylar plate. Postoperative management was non-weight bearing in splints, followed by weight bearing and rehabilitation at 6 weeks. Osteotomies healed uneventfully.
Case provided by James B Hunter, Nottingham, UK
Hazards and labeling
Due to varying countries’ legal and regulatory approval requirements, consult the appropriate local product labeling for approved intended use of the products described on this website. All devices on this website are approved by the AO Technical Commission. For logistical reasons, these devices may not be available in all countries worldwide at the date of publication.
Legal restrictions
This work was produced by AO Foundation, Switzerland. All rights reserved by AO Foundation. This publication, including all parts thereof, is legally protected by copyright.
Any use, exploitation or commercialization outside the narrow limits set forth by copyright legislation and the restrictions on use laid out below, without the publisher‘s consent, is illegal and liable to prosecution. This applies in particular to photostat reproduction, copying, scanning or duplication of any kind, translation, preparation of microfilms, electronic data processing, and storage such as making this publication available on Intranet or Internet.
Some of the products, names, instruments, treatments, logos, designs, etc referred to in this publication are also protected by patents, trademarks or by other intellectual property protection laws (eg, “AO” and the AO logo are subject to trademark applications/registrations) even though specific reference to this fact is not always made in the text. Therefore, the appearance of a name, instrument, etc without designation as proprietary is not to be construed as a representation by the publisher that it is in the public domain.
Restrictions on use: The rightful owner of an authorized copy of this work may use it for educational and research purposes only. Single images or illustrations may be copied for research or educational purposes only. The images or illustrations may not be altered in any way and need to carry the following statement of origin “Copyright by AO Foundation, Switzerland”.
Check www.aofoundation.org/disclaimer for more information.
If you have any comments or questions on the articles or the new devices, please do not hesitate to contact us.
“approved by AO Technical Commission” and “approved by AO”
The brands and labels “approved by AO Technical Commission” and “approved by AO”, particularly "AO" and the AO logo, are AO Foundation's intellectual property and subject to trademark applications and registrations, respectively. The use of these brands and labels is regulated by licensing agreements between AO Foundation and the producers of innovation products obliged to use such labels to declare the products as AO Technical Commission or AO Foundation approved solutions. Any unauthorized or inadequate use of these trademarks may be subject to legal action.
AO ITC Innovations Magazine
Find all issues of the AO ITC Innovations Magazine for download here.
Innovation Awards
Recognizing outstanding achievements in development and fostering excellence in surgical innovation.




