3.5 LCP Distal Tibia T-Plate
Fig 1: Short T-plates for anterior and posterior placement
The T-plates are available in a 3-hole (64 mm) and 5-hole (90 mm) version and are intended for anterior and posterior placement. The plates are anatomically contoured to fit the anterior and posterior distal tibia. The plate is 1.5 mm thick and features four distal rafting locking screw holes with a 5° proximal angle, one locking strut screw hole and one elongated hole in the shaft which assists with placement.
The posterior T-plates (pictured right) are available in 8-hole (132 mm), 12-hole (184 mm), and 16-hole (236 mm) lengths and should only be placed on the posterior aspect of the distal tibia. The plates are anatomically contoured to fit the posterior distal tibia. The plate edges have been rounded for a smoother insertion and provides less prominence. The plate has two locking strut screw holes to prevent collapse, four distal rafting locking screw holes and one proximal and one distal elongated hole to aid positioning. The design provides angular stability similar to a blade plate while maintaining ease of insertion.
The plates are part of the small fragment LCP system and are available in stainless steel.
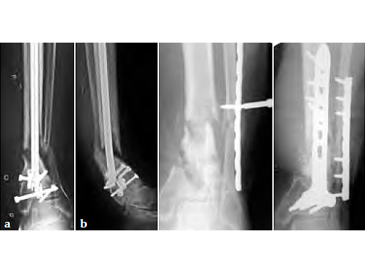
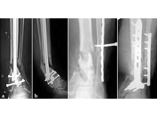
Case provided by Phil Kregor, Nashville, USA.
31-year-old male with a 2.5-year history of a distal tibial nonunion/malunion with three previous surgeries. Significantly compromised soft-tissue envelope anteriorly.
Removal of the intramedullary nail followed by posterior iliac bone grafting and plate fixation of both the fibula and tibia. A posterolateral approach was used to approach both the tibia and the fibula. The posterior locking T-plate was used for fixation of the tibia.
Some residual varus deformity of the tibia remains, but clinically the patient is full weight bearing and has returned to work after 4.5 months.
Hazards and labeling
Due to varying countries’ legal and regulatory approval requirements, consult the appropriate local product labeling for approved intended use of the products described on this website. All devices on this website are approved by the AO Technical Commission. For logistical reasons, these devices may not be available in all countries worldwide at the date of publication.
Legal restrictions
This work was produced by AO Foundation, Switzerland. All rights reserved by AO Foundation. This publication, including all parts thereof, is legally protected by copyright.
Any use, exploitation or commercialization outside the narrow limits set forth by copyright legislation and the restrictions on use laid out below, without the publisher‘s consent, is illegal and liable to prosecution. This applies in particular to photostat reproduction, copying, scanning or duplication of any kind, translation, preparation of microfilms, electronic data processing, and storage such as making this publication available on Intranet or Internet.
Some of the products, names, instruments, treatments, logos, designs, etc referred to in this publication are also protected by patents, trademarks or by other intellectual property protection laws (eg, “AO” and the AO logo are subject to trademark applications/registrations) even though specific reference to this fact is not always made in the text. Therefore, the appearance of a name, instrument, etc without designation as proprietary is not to be construed as a representation by the publisher that it is in the public domain.
Restrictions on use: The rightful owner of an authorized copy of this work may use it for educational and research purposes only. Single images or illustrations may be copied for research or educational purposes only. The images or illustrations may not be altered in any way and need to carry the following statement of origin “Copyright by AO Foundation, Switzerland”.
Check www.aofoundation.org/disclaimer for more information.
If you have any comments or questions on the articles or the new devices, please do not hesitate to contact us.
“approved by AO Technical Commission” and “approved by AO”
The brands and labels “approved by AO Technical Commission” and “approved by AO”, particularly "AO" and the AO logo, are AO Foundation's intellectual property and subject to trademark applications and registrations, respectively. The use of these brands and labels is regulated by licensing agreements between AO Foundation and the producers of innovation products obliged to use such labels to declare the products as AO Technical Commission or AO Foundation approved solutions. Any unauthorized or inadequate use of these trademarks may be subject to legal action.
AO ITC Innovations Magazine
Find all issues of the AO ITC Innovations Magazine for download here.
Innovation Awards
Recognizing outstanding achievements in development and fostering excellence in surgical innovation.

