2.4 mm VA -LCP Two-Column Volar Distal Radius (Narrow), for Small Stature
Changes to the plate include; merging of central holes in the plate head, reduction in plate head angle from 25° to 20°, more rounded edges on both the radial and ulnar sides and increased divergent pre-defined screw angles. The narrow plate also comes in a left and right version with four different shaft lengths (42 to 72 mm and 2 to 5 holes) and two corresponding guide blocks. The plates are available in stainless steel and titanium as well as sterile and non-sterile. A trial implant allows determination of correct plate size in regions with sterile implants only. This trial implant may be fixed temporarily through K-wire holes.
The system consists of the 2.4 mm variable angle LCP two-column volar distal radius and the 2.4 mm variable angle LCP volar extra articular distal radius plates. Both plate types use 2.4/2.7 mm cortex or 2.4 mm locking screws in the plate shaft, and 2.4 mm variable angle locking screws in the head of the plate. The variable angle locking screws are available from 830 mm.
The design of the 2.4 mm variable angle LCP two-column volar distal radius plate reflects the need to reconstruct and stabilize the load-bearing radial and, more importantly, intermediate columns of the distal radius, as well as the sigmoid notch (which forms part of the distal radioulnar joint). As such, it provides stability to the areas of the radiusshown to be biomechanically crucial in force transmission, as well as to the distal part of the forearm rotation mechanism.
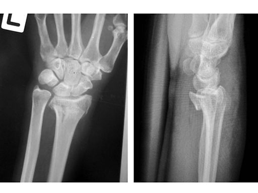
A young woman, 1,5 m tall, 45 kg, sustained a very distal C1.1 fracture of the distal radius.
Fig 1 Intraoperative view showing reposition of the radiocarpal joint with the K-wire.
Fig 2 Stabilization of the radiocarpal articular surface with one single 2.4 mm screw at the level of the watershed line, and narrow plate below the watershed line.
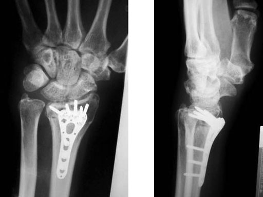
Fig 3ac Postoperative x-rays showing comparison of plate alternatives.
Case provided by Martin Langer, Mnster, Germany
Age 63, male, motorcycle accident
Case provided by Dr. Apikit, Thailand
Fig 1a-b Preoperative x-rays
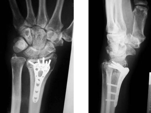
Fig 2a-b Post-op immediate
Fig 3a-b Post-op 3 months
Fig 4a-d Functional Result: 12 weeks post-op
Hazards and labeling
Due to varying countries’ legal and regulatory approval requirements, consult the appropriate local product labeling for approved intended use of the products described on this website. All devices on this website are approved by the AO Technical Commission. For logistical reasons, these devices may not be available in all countries worldwide at the date of publication.
Legal restrictions
This work was produced by AO Foundation, Switzerland. All rights reserved by AO Foundation. This publication, including all parts thereof, is legally protected by copyright.
Any use, exploitation or commercialization outside the narrow limits set forth by copyright legislation and the restrictions on use laid out below, without the publisher‘s consent, is illegal and liable to prosecution. This applies in particular to photostat reproduction, copying, scanning or duplication of any kind, translation, preparation of microfilms, electronic data processing, and storage such as making this publication available on Intranet or Internet.
Some of the products, names, instruments, treatments, logos, designs, etc referred to in this publication are also protected by patents, trademarks or by other intellectual property protection laws (eg, “AO” and the AO logo are subject to trademark applications/registrations) even though specific reference to this fact is not always made in the text. Therefore, the appearance of a name, instrument, etc without designation as proprietary is not to be construed as a representation by the publisher that it is in the public domain.
Restrictions on use: The rightful owner of an authorized copy of this work may use it for educational and research purposes only. Single images or illustrations may be copied for research or educational purposes only. The images or illustrations may not be altered in any way and need to carry the following statement of origin “Copyright by AO Foundation, Switzerland”.
Check www.aofoundation.org/disclaimer for more information.
If you have any comments or questions on the articles or the new devices, please do not hesitate to contact us.
“approved by AO Technical Commission” and “approved by AO”
The brands and labels “approved by AO Technical Commission” and “approved by AO”, particularly "AO" and the AO logo, are AO Foundation's intellectual property and subject to trademark applications and registrations, respectively. The use of these brands and labels is regulated by licensing agreements between AO Foundation and the producers of innovation products obliged to use such labels to declare the products as AO Technical Commission or AO Foundation approved solutions. Any unauthorized or inadequate use of these trademarks may be subject to legal action.
AO ITC Innovations Magazine
Find all issues of the AO ITC Innovations Magazine for download here.
Innovation Awards
Recognizing outstanding achievements in development and fostering excellence in surgical innovation.









