Elastic stable intramedullary nailing of the clavicle
Fractures of the clavicle are common and seen across all age groups; however women are at almost four time's greater risk of non-union than men (Nowak). The traditional treatment of midshaft clavicle fractures has been non operative. Although minimally displaced fractures do well, outcome studies have shown higher incidences of fracture malunion, non-union, and patient dissatisfaction after non operative treatment of displaced midshaft clavicle fractures. A meta-analysis by Hill found a non-union rate of 15.1% following non-operative care of these fractures.
Clavicular malunion is a distinct clinical entity with characteristic orthopaedic (weakness and easy fatigability), neurovascular (neurogenic compression syndrome, thoracic) and aesthetic (droopy, asymmetric shoulder, difficulty with backpacks, shoulder straps etc.) symptoms (McKee).
The subcutaneous position of the clavicle lends itself to less invasive surgical techniques.
Titanium Elastic Nail
The Titanium Elastic Nail was invented primarily for fixation of fractures where the medullary canal is narrow or flexibility of the implant is needed. It is used for treatment of humeral, femoral and tibial fractures in adolescents and children, or small statured adults.
The TEN is available in six diameters: 1.5, 2.0, 2.5, 3.0, 3.5, and 4.0mm. The 1.5mm diameter TEN is 300mm long. All other size diameters come in a length of 440mm.
Use of the Titanium Elastic Nail (TEN) in displaced clavicle fractures offers a means of minimally invasive fixation that allows for early motion and function, immediate pain reduction and a lower rate of fracture non-union and malunion compared to non operative treatments. The risks of infection and non-union often associated with open reduction and internal plate fixation can be minimized by a percutaneous procedure (Keener). A study by Rehm reported on 136 fractures in 132 patients treated with the TEN with 78 placed entirely percutaneously, and the remaining required a limited exposure for fracture reduction. All but one healed, with follow-up revealing outstanding functional results.
Jubel showed that the use of the TEN in displaced midclavicular fractures was successful in terms of clinical outcome and rapid resumption of sporting activities. They recommended intramedullary nailing as preferred treatment of athletes compared to non-operative treatment.
Intramedullary nailing of the clavicle was shown to have a higher union rate with a lower complication rate than plating (Wu).
Surgical Technique and post-operative management
The operative technique as described by Rehm starts with a skin incision just above the sternal end of the clavicle. Approximately one cm lateral to the sternoclavicular joint, a hole is drilled into the anterior cortex. A titanium nail varying in diameter between 2.5 to 3.5 mm is mounted on a universal chuck with T-handle. With oscillating movements the TEN is advanced until it reaches the fracture site. If closed reduction manoeuvres are unsuccessful, an additional skin incision has to be made at the level of the fracture site enabling direct manipulation of the fragments.
Postoperatively, no immobilization is performed. Patients are encouraged to move the arm as much as tolerated and to use it in daily activities.
Bibliography
Hill JM, McGuire MH, Crosby L (1997). Closed treatment of displaced middle-third fractures of the clavicle gives poor results. J Bone Joint Surgery; 79B(4): 537-41.
Jubel A, Andemahr J, Bergmann H, Prokop A, Rehm, K, Fay M (2003). Elastic stable intramedullary nailing of midclavicular fractures in athletes. British Journal Sports Med; 37(6): 48084.
McKee MD (2006). Displaced fractures of the clavicular shaft: Fact and fallacy. AO Dialogue; 1: 26-29
Nowak J, Holdersson M, Larsson S (2005). Sequelae from clavicular fractures are common: a prospective study of 222 patients. Acta Orthop; 76(4): 496-502.
Rehm K, Andermahr J, Jubel A (2004). Intramedullary Nailing of Midclavicular Fractures with an Elastic Titanium Nail. Operat Orthop Traumatol; 4: 365-79.
Keener JD, Dahners LE (2006). Percutaneous Pinning of Displaced Midshaft Clavicle Fractures. Techniques in Shoulder & Elbow Surgery; 7(4): 175-81
Wu CC, Shih CH, Chen WJ, Tai CL (1998). Treatment of clavicular aseptic non-union: Comparison of plating and Intramedullary nailing techniques. The Journal of Trauma; 45(3): 429-45 (26 ref.): 512-16.
Additional instruments
Cases provided by Vinzenz Smekal, Innsbruck, Austria
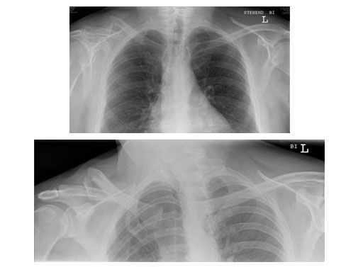
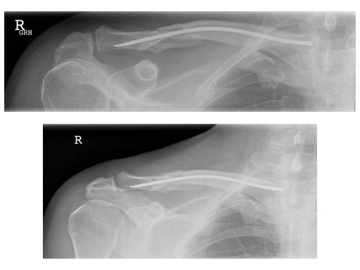
Case 1: Male, 56 years, Bicycle accident
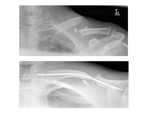
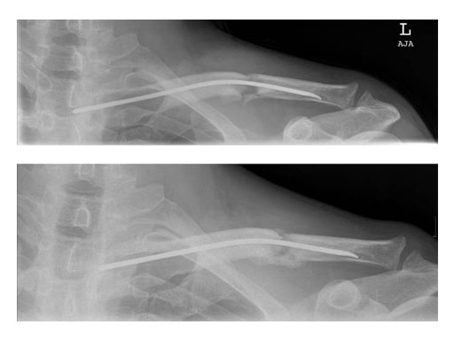
Case 2: 51 years, male, hit by tree
Hazards and labeling
Due to varying countries’ legal and regulatory approval requirements, consult the appropriate local product labeling for approved intended use of the products described on this website. All devices on this website are approved by the AO Technical Commission. For logistical reasons, these devices may not be available in all countries worldwide at the date of publication.
Legal restrictions
This work was produced by AO Foundation, Switzerland. All rights reserved by AO Foundation. This publication, including all parts thereof, is legally protected by copyright.
Any use, exploitation or commercialization outside the narrow limits set forth by copyright legislation and the restrictions on use laid out below, without the publisher‘s consent, is illegal and liable to prosecution. This applies in particular to photostat reproduction, copying, scanning or duplication of any kind, translation, preparation of microfilms, electronic data processing, and storage such as making this publication available on Intranet or Internet.
Some of the products, names, instruments, treatments, logos, designs, etc referred to in this publication are also protected by patents, trademarks or by other intellectual property protection laws (eg, “AO” and the AO logo are subject to trademark applications/registrations) even though specific reference to this fact is not always made in the text. Therefore, the appearance of a name, instrument, etc without designation as proprietary is not to be construed as a representation by the publisher that it is in the public domain.
Restrictions on use: The rightful owner of an authorized copy of this work may use it for educational and research purposes only. Single images or illustrations may be copied for research or educational purposes only. The images or illustrations may not be altered in any way and need to carry the following statement of origin “Copyright by AO Foundation, Switzerland”.
Check www.aofoundation.org/disclaimer for more information.
If you have any comments or questions on the articles or the new devices, please do not hesitate to contact us.
“approved by AO Technical Commission” and “approved by AO”
The brands and labels “approved by AO Technical Commission” and “approved by AO”, particularly "AO" and the AO logo, are AO Foundation's intellectual property and subject to trademark applications and registrations, respectively. The use of these brands and labels is regulated by licensing agreements between AO Foundation and the producers of innovation products obliged to use such labels to declare the products as AO Technical Commission or AO Foundation approved solutions. Any unauthorized or inadequate use of these trademarks may be subject to legal action.
AO ITC Innovations Magazine
Find all issues of the AO ITC Innovations Magazine for download here.
Innovation Awards
Recognizing outstanding achievements in development and fostering excellence in surgical innovation.








