LCP Anterolateral Distal Tibia Plate 3.5
Philip Kregor
The LCP Anterolateral Distal Tibia Plates 3.5 are indicated for fixation of fractures, osteotomies, nonunions and malunions of the distal tibia, particularly in osteopenic bone, and in cases with bad soft tissue or wounds at the anteromedial side. The plate has a 60 twist in the shaft to fit to the distal tibia anatomy. The plate width in the shaft was increased, and a proximal hole added for compression or distraction with the articulated tension device. The 3.6 mm shaft thickness tapers to 2.5 mm distally. The plate has a low profile which is optimal for the anterior surface of the distal tibia with little soft-tissue coverage.
An increased variety of distal screw options enables screw placement according to the fracture pattern. 4 distal head screw holes are angled 7 inferiorly to capture the posterior malleolus, Volkmans triangle and the Chaput fragment. 3 K-wire holes in the head, parallel to the joint, accept 2.0 mm K-wires to temporarily fix the plate to the distal tibia, temporarily reduce articular fragments, and show proximity to the joint.
The plate is available in lengths from 80-288 mm, shaft holes from 5-21, and comes in either stainless steel or titanium.
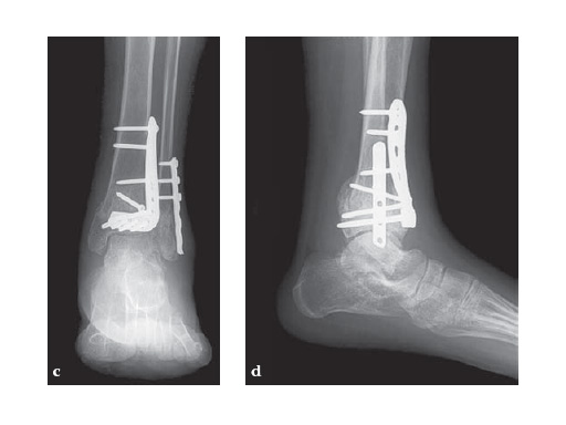
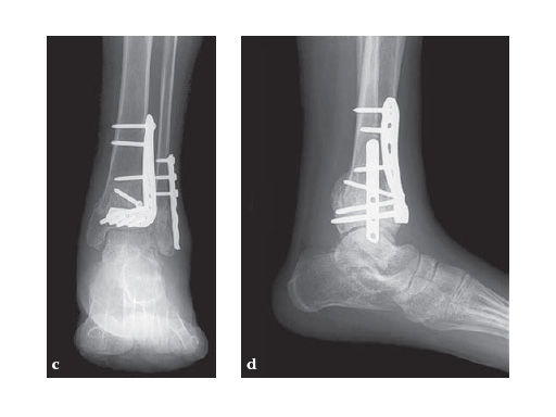
Clinical case:
28-year-old woman had a high energy motor vehicle collision and sustained an isolated distal left tibial fracture.
Hazards and labeling
Due to varying countries’ legal and regulatory approval requirements, consult the appropriate local product labeling for approved intended use of the products described on this website. All devices on this website are approved by the AO Technical Commission. For logistical reasons, these devices may not be available in all countries worldwide at the date of publication.
Legal restrictions
This work was produced by AO Foundation, Switzerland. All rights reserved by AO Foundation. This publication, including all parts thereof, is legally protected by copyright.
Any use, exploitation or commercialization outside the narrow limits set forth by copyright legislation and the restrictions on use laid out below, without the publisher‘s consent, is illegal and liable to prosecution. This applies in particular to photostat reproduction, copying, scanning or duplication of any kind, translation, preparation of microfilms, electronic data processing, and storage such as making this publication available on Intranet or Internet.
Some of the products, names, instruments, treatments, logos, designs, etc referred to in this publication are also protected by patents, trademarks or by other intellectual property protection laws (eg, “AO” and the AO logo are subject to trademark applications/registrations) even though specific reference to this fact is not always made in the text. Therefore, the appearance of a name, instrument, etc without designation as proprietary is not to be construed as a representation by the publisher that it is in the public domain.
Restrictions on use: The rightful owner of an authorized copy of this work may use it for educational and research purposes only. Single images or illustrations may be copied for research or educational purposes only. The images or illustrations may not be altered in any way and need to carry the following statement of origin “Copyright by AO Foundation, Switzerland”.
Check www.aofoundation.org/disclaimer for more information.
If you have any comments or questions on the articles or the new devices, please do not hesitate to contact us.
“approved by AO Technical Commission” and “approved by AO”
The brands and labels “approved by AO Technical Commission” and “approved by AO”, particularly "AO" and the AO logo, are AO Foundation's intellectual property and subject to trademark applications and registrations, respectively. The use of these brands and labels is regulated by licensing agreements between AO Foundation and the producers of innovation products obliged to use such labels to declare the products as AO Technical Commission or AO Foundation approved solutions. Any unauthorized or inadequate use of these trademarks may be subject to legal action.
AO ITC Innovations Magazine
Find all issues of the AO ITC Innovations Magazine for download here.
Innovation Awards
Recognizing outstanding achievements in development and fostering excellence in surgical innovation.

