Nonspanning Distal Radius Fixator
Treatment of fractures of the distal radius has been proven to be advantageous if spanning of the wrist joint is avoided. This allows for greater motion throughout the treatment resulting in improved range of motion, grip strength, and dexterity. The nonspanning Distal Radius Fixator provides such a nonbridging external fixator, creating a low-profile frame for increased patient comfort and the ability to perform daily activities.
The nonspanning Distal Radius Fixator consists of a small adjustable clamp, nonspanning, MR safe. It locks on to two 4.0 mm Schanz Screws spaced 20 mm apart. The 4.0 mm carbon fiber rod slides into a through hole in the clamp with a set screw tightening point to established the desired length. A ball joint in the clamp then provides for ulnar/radial as well as volar/dorsal deviation of the rod. To create lower profile frames, the nonspanning Distal Radius Fixator includes three shorter length Schanz screws65 mm lengths in both 4.0/2.5 mm size (with a trocar tip) and the 4.0/3.0 mm size (with a self-drilling tip), and an 80 mm length in the 4.0/2.5 mm size (with a trocar tip).
The 4.0 mm curved carbon fiber rods match the axial curvature of the wrist. They are available in 60, 90, 120, or 180 arcs to be used for fixation of the distal fragment.
The 4.0 mm angled T-bar carbon fiber rods create the same angle as the curved rods, with the addition of a rod extending perpendicularly. The material allows a frame to be constructed with a rod centred on the dorsal aspect of the wrist without sacrificing the C-arm image in the dorsal/palmar view. The angled T-bar fiber rods will be available in 80 mm (length) 50 mm (width), 80 120 mm, 110 50 mm, and 110 120 mm. Both the curved and angled T-bar fiber rods can be used as part of a delta frame construct.
Additional instruments such as drill sleeves, drill guides, and trocars are included in the set.
Small Universal Chuck with T-Handle
The Small Universal Chuck with T-Handle is used to insert Schanz screws or wires from 1.0 - 6.0 mm diameters. The size of the T-Handle has been reduced for lighter weight and easier handling and will be available for all External Fixation Systems.
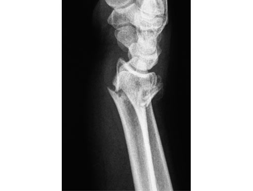
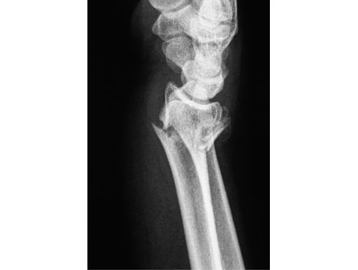
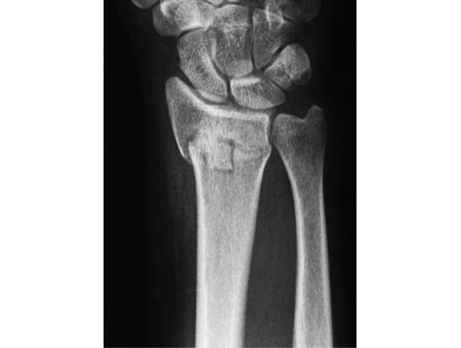
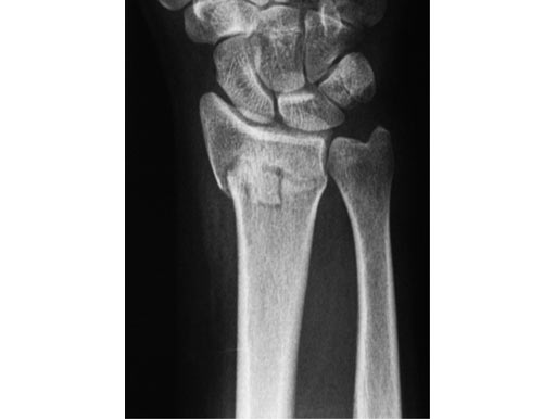
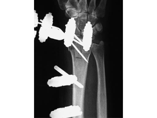
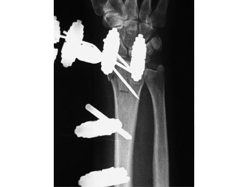
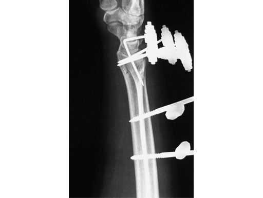
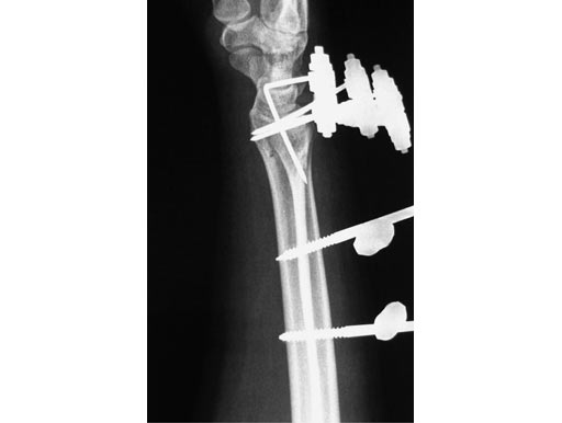
56-year-old female, accident at home
Hazards and labeling
Due to varying countries’ legal and regulatory approval requirements, consult the appropriate local product labeling for approved intended use of the products described on this website. All devices on this website are approved by the AO Technical Commission. For logistical reasons, these devices may not be available in all countries worldwide at the date of publication.
Legal restrictions
This work was produced by AO Foundation, Switzerland. All rights reserved by AO Foundation. This publication, including all parts thereof, is legally protected by copyright.
Any use, exploitation or commercialization outside the narrow limits set forth by copyright legislation and the restrictions on use laid out below, without the publisher‘s consent, is illegal and liable to prosecution. This applies in particular to photostat reproduction, copying, scanning or duplication of any kind, translation, preparation of microfilms, electronic data processing, and storage such as making this publication available on Intranet or Internet.
Some of the products, names, instruments, treatments, logos, designs, etc referred to in this publication are also protected by patents, trademarks or by other intellectual property protection laws (eg, “AO” and the AO logo are subject to trademark applications/registrations) even though specific reference to this fact is not always made in the text. Therefore, the appearance of a name, instrument, etc without designation as proprietary is not to be construed as a representation by the publisher that it is in the public domain.
Restrictions on use: The rightful owner of an authorized copy of this work may use it for educational and research purposes only. Single images or illustrations may be copied for research or educational purposes only. The images or illustrations may not be altered in any way and need to carry the following statement of origin “Copyright by AO Foundation, Switzerland”.
Check www.aofoundation.org/disclaimer for more information.
If you have any comments or questions on the articles or the new devices, please do not hesitate to contact us.
“approved by AO Technical Commission” and “approved by AO”
The brands and labels “approved by AO Technical Commission” and “approved by AO”, particularly "AO" and the AO logo, are AO Foundation's intellectual property and subject to trademark applications and registrations, respectively. The use of these brands and labels is regulated by licensing agreements between AO Foundation and the producers of innovation products obliged to use such labels to declare the products as AO Technical Commission or AO Foundation approved solutions. Any unauthorized or inadequate use of these trademarks may be subject to legal action.
AO ITC Innovations Magazine
Find all issues of the AO ITC Innovations Magazine for download here.
Innovation Awards
Recognizing outstanding achievements in development and fostering excellence in surgical innovation.








