LCP Metaphyseal Plate 3.5, 4.5, and 5.0
The LCP Metaphyseal Plate is indicated for fractures in the metaphyseal areas which reach into the proximal and distal shaft of the humerus, proximal, and distal tibia as well as fibula, and proximal, and distal radius as well as ulna.
The LCP combination holes provide a choice of dynamic compression and/or angular stability in one implant. The dense net of LCP combination holes in the thinned plate area allows a closer insertion of the screws and, therefore, provides a higher purchase with better stability. The long hole helps to optimize fine-tuning of the reduction in the longitudinal axis. A bullet tip enables easier application of a minimally invasive surgical technique. The small hole is intended for temporary fixation with a K-wire. The thinned plate profile (especially designed for the distal ends) provides easy contouring of the plate and takes the peculiarities of the metaphyseal area into account. The angulation of the two outermost hole units (11) towards the center of the thinned plate area allows a closer juxta-articular plate placement. The plates undercuts maintain good vascularization of the periost. The LCP Metaphyseal Plate is available in stainless steel and titanium and is fully compatible with the instruments and implants of the LCP System.
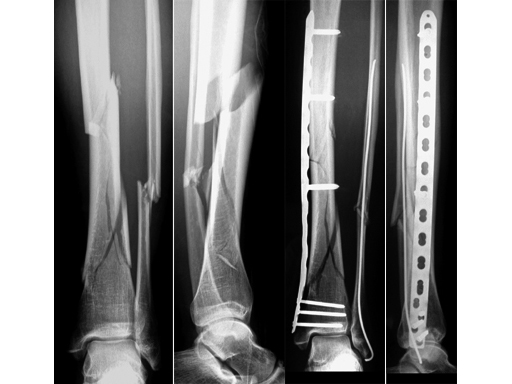
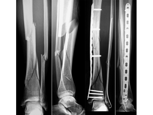
32-year-old woman, closed fracture type 42-C3 with minimal soft-tissue injury, after skiing accident.
Hazards and labeling
Due to varying countries’ legal and regulatory approval requirements, consult the appropriate local product labeling for approved intended use of the products described on this website. All devices on this website are approved by the AO Technical Commission. For logistical reasons, these devices may not be available in all countries worldwide at the date of publication.
Legal restrictions
This work was produced by AO Foundation, Switzerland. All rights reserved by AO Foundation. This publication, including all parts thereof, is legally protected by copyright.
Any use, exploitation or commercialization outside the narrow limits set forth by copyright legislation and the restrictions on use laid out below, without the publisher‘s consent, is illegal and liable to prosecution. This applies in particular to photostat reproduction, copying, scanning or duplication of any kind, translation, preparation of microfilms, electronic data processing, and storage such as making this publication available on Intranet or Internet.
Some of the products, names, instruments, treatments, logos, designs, etc referred to in this publication are also protected by patents, trademarks or by other intellectual property protection laws (eg, “AO” and the AO logo are subject to trademark applications/registrations) even though specific reference to this fact is not always made in the text. Therefore, the appearance of a name, instrument, etc without designation as proprietary is not to be construed as a representation by the publisher that it is in the public domain.
Restrictions on use: The rightful owner of an authorized copy of this work may use it for educational and research purposes only. Single images or illustrations may be copied for research or educational purposes only. The images or illustrations may not be altered in any way and need to carry the following statement of origin “Copyright by AO Foundation, Switzerland”.
Check www.aofoundation.org/disclaimer for more information.
If you have any comments or questions on the articles or the new devices, please do not hesitate to contact us.
“approved by AO Technical Commission” and “approved by AO”
The brands and labels “approved by AO Technical Commission” and “approved by AO”, particularly "AO" and the AO logo, are AO Foundation's intellectual property and subject to trademark applications and registrations, respectively. The use of these brands and labels is regulated by licensing agreements between AO Foundation and the producers of innovation products obliged to use such labels to declare the products as AO Technical Commission or AO Foundation approved solutions. Any unauthorized or inadequate use of these trademarks may be subject to legal action.
AO ITC Innovations Magazine
Find all issues of the AO ITC Innovations Magazine for download here.
Innovation Awards
Recognizing outstanding achievements in development and fostering excellence in surgical innovation.




